Tedavi Olmayacak Kadınların Miyom Bahaneleri Var. Her Kadın Farklı Olabilir, Miyomlarıyla İlgili Bahaneler Engeller Gösterebilir. ☎️ 05467740159
Tedavi Olmayacak Kadınların Miyom Bahaneleri
Kadınların Miyom Bahaneleri
Miyomların boyutları – çokluğu, her kadının deneyimlediği semptomlara ve sağlık durumuna bağlı olarak değişebilir. Miyomların belirtileri, kadınların yaşamlarını etkileyebilecek rahatsızlıklar içerebilir. Bununla birlikte, kadınlar miyomlarıyla ilgili semptomları hafife alabilmekte, fark konduramadıkları semptomları öteki faktörlere bağlayabilecekleri yani Kadınların Miyom Bahaneleri sergileyebilecekleri unutulmamalıdır.
Kadınların miyom bahanelerine Yönlenmesinin nedenleri :
Semptomları diğer faktörlere bağlama:
Önemli sayıda kadın, miyomlarının neden olduğu semptomları, sıradan regl ağrıları, stres, yaşlanma süreci … diğer faktörlere bağlayabilirler. Bu nedenle semptomları miyoma bağlamak yerine, farklı açıklamalar bulmaya çalışabilirler. Buda büyük veya rahimi tamamen sarmış (patates çuvalı) miyomatozis uteri (miyomların uterusu sarması – doldurması) durumuna evrilebilir.
Semptomları önemsememe:
Kadınsal hastalıklarını basitleştiren kadınlar, semptomları hafife alabilir, onları önemsemeyebilir. Örneğin, düzensiz regl kanamaları, hafif ağrılar yaşadıklarında, bu durumları normal kabul edebilir, ilgisiz faktörlere bağlayabilirler.
Endişe – korku:
Genital semptomları kadınlarda olabilen durumlar bilenler; miyomların ciddi sağlık sorunu olduğunu bilmelerine rağmen, cerrahi müdahale, tedavi sürecinden duydukları endişe – korku nedeniyle durumu erteleyebilirler. Bu durum, tedavi için gerekli adımları atmaktan kaçınmalarına nedendir. Dolayısı ile boyut ve sayı olarak artan miyomlar zaman içerisinde rahimde daha fazla tahribat yapabilmektedir.
Tedaviye ulaşma zorlukları:
Miyom bulunan kadınlar, miyomlarıyla ilgili tedaviye ulaşma zorluklarıyla karşılaşabilirler. Finansal kısıtlamalar, sağlık sigortası eksikliği, sağlık hizmetlerine erişimdeki zorluklar, sağlıkla ilgili kültürel inançlar … faktörler, tedaviye erişimi sınırlayabilir, geciktirebilir.
İş – aile sorumlulukları:
Kadınlar, iş – aile sorumluluklarından (kız – oğlan evlenecek, evin kredi taksiti ödeniyor, …) dolayı miyomlarını tedavi etmeyi erteleyebilirler. Tedavi sürecinin zaman alıcı ve günlük yaşamı etkileyebileceği farkındalığı nedeniyle tedaviyi ertelemeyi tercih edebilirler.
İnançsal – kültürel faktörler:
Azımsanmayacak sayıda miyoma sahip kadın, inançsal – kültürel nedenlerle miyom tedavisi konusunda çekinceler yaşayabilirler. Tedaviye karşı önyargılar, alternatif tıp yöntemlerine yönelik tercihler bunu etkileyebilir.
Bilgi eksikliği:
Miyomlar hakkında yeterli bilgiye sahip olmamak, kadınların tedavi seçeneklerini araştırmak ve tedavi sürecine başlamak konusunda tereddüt etmelerine neden olabilir.
Önceliklerin belirlenmesi:
Genital sistem şikayetlerini küçümseyen, bekleyebilir gören kadınlar, miyomlarının tedavisini diğer kendilerine göre acil – öncelikli sağlık sorunlarına bakarak erteleyebilirler. Örneğin, finansal sorunlar, aile üyelerinin sağlık ihtiyaçları, diğer ciddi hastalıklar … faktörler miyom tedavisini erteleme nedeni şeklinde çıkabilmektedir.
Her kadının durumu farklıdır ve bu nedenle miyom bahaneleri farklılık gösterebilir. Önemli olan, miyomların potansiyel etkilerini ve tedavi seçeneklerini anlamak, uzman -jinekologdan uygun -değerlendirme – tedavi planı almak, düzenli olarak sağlık kontrollerine gitmektir. Miyom bahanelerine satılmamak gereklidir.
Miyomlar genellikle iyi huylu tümörler olsa da, bazı durumlarda komplikasyonların sebebidir.
Kadınların Miyom Bahaneleri nedenle Gelişebilecek komplikasyonlar
Ağrı:
Miyomlar, pelvik bölgede, alt karın bölgesinde ağrı; regl sırasında – cinsel ilişki sırasında ağrıyı artabilir.
Regl Düzensizlikleri
Miyomlar, regl döngüsünde düzensizliklere, kanama miktarında artışa, regl süresi uzamaları, ara kanamalar oluşturabilir.
Anemi:
Miyomlar nedeniyle aşırı kanamalar oluşursa, zamanla anemi (kansızlık) gelişebilir. Anemi belirtileri yorgunluk, halsizlik, soluk cilt, baş dönmesi ve nefes darlığıdır.
Büyüme ve Basınç Semptomları:
Devasa miyomlar, pelvik bölgede baskıya ve az miktarda idrar yapma, artmış – azalmış bağırsak hareketlerine, cinsel ilişki sırasında rahatsızlık hissi, sık idrara çıkma – kabızlık semptomlarına yol açabilir.
İnfertilite:
Miyomlar, doğurganlık üzerinde etkisi olabilecek faktördür. Büyümüş miyomlar uterus içindeki embriyonun implantasyonunu (yerleşmesini – yuvalanmasını) engelleyebilir, sperm ve yumurtanın buluşmasını zorlaştırabilir.
Miyom Ölümleri:
Nadir durumlarda, miyomlar hızla büyüyebilir, kendi içerisinde kan dolaşımını kaybedebilir. Bu durum, akut ağrı, şişlik, ateş semptomlarına neden verip, acil cerrahi müdahale gerektirebilir. Bundan miyom bahaneleriyle vakit kaybetmemek gereklidir.
Gebelik Komplikasyonları:
Büyük miyom veya yerleşim yeri nedeniyle miyomlar; düşük, erken doğum, plasenta previa (plasentanın düşük rahimde yerleşmesi) ve zor doğum şeklinde gebelik komplikasyonlarının kaynağı bulunabilir.
Miyom Dejenerasyonu:
Nadir durumlarda, miyomlar hızlı şekilde büyüyebilir ve kan dolaşımını kaybederek dejenerasyona (dokunun bozulması) uğrayabilir. Bu durum, akut ağrı, ateş, karında hassasiyet … semptomların nedeni çıkabilir.
Miyom nekrozu:
Nadir durumlarda, miyomlar kan akışının kesilmesiyle birlikte nekroz adı verilen doku ölümü yaşayabilir. Bu durum şiddetli ağrı, ateş ve enfeksiyon belirtileriyle kendini gösterebilir ve acil tıbbi müdahale gerektirebilir.
İdrar Yolları Komplikasyonları:
Büyük miyomlar, idrar yoluna baskı yaparak idrar yapma güçlüğüne, idrar yolu enfeksiyonlarına sebep verebilir.
Kabızlık – bağırsak semptomları:
Miyomlar, bağırsak üzerinde baskı yapabilir ve kabızlık, şişkinlik, bağırsak hareketlerinde zorluk, bağırsak semptomlarına nedeni olabilirler.
İnflamasyon – enfeksiyon:
Nadir durumlarda, miyomlar iltihaplanabilir,innfekte olabilir. Bu durumda, ağrı, ateş, vajinal akıntı, idrar yaparken zorluk … enfeksiyon belirtileri görülebilir.
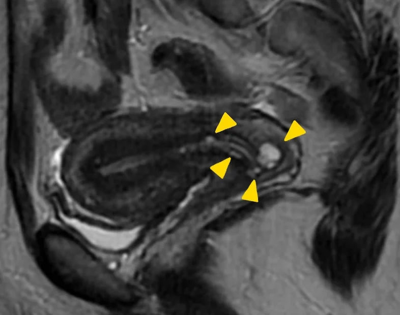
Submukozal miyomlar ve fertilite:
Submukozal miyomlar, döl yatağına yerleştiğinden doğurganlık üzerinde daha fazla etkiye sahip görülebilir. Bu tür miyomlar, implantasyonu engelleyebilir, gebelik sırasında komplikasyonlara olasıdır.
İleri yaşta menopoz:
Miyomlar, menopoz sonrası rahatsızlıklara yol açabilir. Menopoz dönemi, miyomlar üzerinde olumsuz etkileri olan östrojen seviyelerinde azalmayla ilişkilidir.
Kanser riski:
Nadir durumlarda, miyomlar kansere dönüşebilir. Ancak, miyomların kansere dönüşme riski çok düşüktür.
İntravenöz leiomyomatozise ( Damar İçine yayılmış Miyom ) yol açan venöz kanallar ile yayılım
İyi huylu metastaz yapan leiomyom – son derece nadir
Subserozal leiomyomun burulması ( torsiyonu )
Miyomlar dışında torsiyon yapan durumları öğrenmek isterseniz bağlantıya tıklayınız.
Piyomiyom ( miyomun iltihap tutması)
Miyomun iltihap tutmasında gerekli olan
uterus iltihabının
varlığıdır.Hamilelikte değişiklikler
- Yaklaşık 1/3 miyom gebelikte büyüyebilir (özellikle 1. trimesterde )
- Hamilelik %30 oranında miyom büyümesine görülebilmektedir.
- Hamilelikte miyom varlığıyla yüzleşmemek istiyorsanız, miyom bahanelerine sarılmadan; gebelikten önce muayene olmalı, miyomun tedavisini almanızı şiddetle tavsiye ederim.

| Parametreler | Rahimde Miyom | Rahimde Polip |
|---|---|---|
| Tanım | Rahimdeki düz kas dokusundan köken alan tümörler | Rahim iç yüzeyinde oluşan küçük tümörler |
| Köken | Düz kas dokusundan | Rahim iç yüzeyinden |
| Yapısal özellik | Genellikle bir veya birden fazla nodül | Tek veya çok sayıda küçük nodül |
| Boyut | Küçükten büyüğe değişen boyutlarda | Genellikle küçük boyutlarda |
| Büyüme hızı | Yavaş büyüme eğilimi gösterir | Genellikle yavaş büyür, bazen hızlı büyüyebilir |
| Hormon bağımlılığı | Östrojen ve progesteron hormonlarına bağımlı | Hormonal bağımlılık gösterebilir |
| Kanser riski | Genellikle kanserle ilişkili değiller | Nadir durumlarda kanserle ilişkilendirilebilir |
| Semptomlar | Ağrı, pelvik baskı, düzensiz regl kanamaları | Düzensiz regl kanamaları, vajinal kanama |
| regl düzeni etkisi | Düzensiz regl kanamaları | Düzensiz regl kanamaları |
| Doğurganlık etkisi | Kısırlık | Kısırlık |
| Tedavi seçenekleri | Gözlem, ilaç tedavisi, cerrahi müdahale | Gözlem, polipektomi (cerrahi çıkarma) |
| Tekrarlama olasılığı | Yeniden oluşma riski vardır | Yeniden oluşma riski vardır |
| Menopozdaki durum | Genellikle menopozdan sonra küçülür, kaybolur | Genellikle menopozdan sonra küçülür, kaybolur |
| İlişkilendirilen faktörler | Hormonal dengesizlikler, genetik yatkınlık, rahim iltihabı, rahim travması | Hormonal dengesizlikler, genetik yatkınlık, rahim iltihabı, rahim travması |
| Tanı yöntemleri | Ultrason, MRG, rahim içi biyopsi | Ultrason, histeroskopi, rahim içi biyopsi |

Miyom – poliplerin oluşma süresi kullanılan bahanelerine bel bağlamanın şiddetine göre kadından kadına büyük ölçüde değişebilir. Bazı kadınlarda oluşumlar yavaşca yıllar içinde gelişirken (burada miyom bahaneleri sürenin uzamasını destekler), bazılarında hızlı ortaya çıkabilir. İyi huylu oluşumlar olduklarından genellikle anice ortaya çıkmazlar.
Ancak, genel – ortalama süre belirtmek gerekirse, miyom – poliplerin yavaşça büyüyebildiği, belirgin semptomlara yol açabilmesi birkaç yıl, daha fazla sürebileceği söylenebilir. Bununla birlikte, her bireyin durumu farklı olduğundan, bu sürelerde önemli farklılıklar olabilir.
Börtü – Böcek İle Miyom Tedavisine Kanmayınız.
Miyomu Tetikleyen Kök Sebep(ler) Tedavi Edilmedikçe Miyom Bitmez.
Miyomun Tekrarlaması
Kök Sebebin Bulunmadığını,
Başladığın Yere Geri
Döndüğünü
Gösterir.
Miyom
gebelikte büyür ve sayısı artabilir.
Miyom bahaneleri olduğunda miyomlu rahime gebe kalmak çok kolaydır.

İltihaplı, Yorgun, Miyomlu, eksik – Yarım , hasarlı, Varisli Bir Rahime Misafir (Fetus) Kabul Etmek Başarı Göstergesi Olmaz.
Sebepsiz yere, rahim miyom üretmez.
Rahim; KEMİK gibi dayanıklı organ yapı değildir.
Senin sabrettiğine, dayandığına, birşey olmaz dediğine dayanmaz.
Öldürmeyen güçlendirir mantığı kadın genital sisteminde geçerli değildir.
Her Rahim
Gebelikte Deforme Olur. Yaşlanarak Çıkar.
Bazı Rahimler, Deformasyona Direnen
Mekanizmalarının Zayıflaması /
Kaybolması Nedeniyle
Miyom – Polip Üretmeye Başlar.
Bunu Hızlandıran Ne Olabilir ?
Miyom polip üreten rahim yaşlanma sinyali veriyor demektir.
Miyom polip
kendi kendine İyileşmiyor.
Artması, büyümesi kök sebebin daha baskın hale geldiğini göstermektedir.
Miyom küçük bile olsa
kök sebebi bulunmalıdır.
Rahimin miyom üretmesi bir etkene kronik maruziyet nedeniyle olabilir.
Gebelikte
Miyomun Büyümesi, Kocaman Olması & Çoğalması
Ciğeri Kediye Kaptırmanız Demektir
Gebelikten önce Muayene Ol !
Doğurmayı Herkes Yapar.
Miyom polip
3 günde oluşmuyor.
İşin temelinde yılların jinekolojik İhmali vardır.
Sabrettiğin, normal bildiğin, her kadında olur dediğin aslında senin hastalığındır.

Muğla

Kadın


Muğla Miyom Tedavisi - 2026
20.01.2026[…] Gebelikte MiyomTedavi Olmayacak Kadınların Miyom BahaneleriPolip – Miyom ; Kök Sebep DeğildirMiyom – Gebelikte MiyomMuğla Menopoz Tedavisi: […]