Otizm & Jinekolojik Enfeksiyon : Anne İhmali Mi?

Otizm & Jinekolojik Enfeksiyon : Anne İhmali Mi?

✍ Bu konu ile ilgili şikayetleriniz & ilginiz varsa, illiyet bağı olan tüm etkenlere hakim olmak istiyorsanız şu konulara da bakabilirsiniz.

Hasta 1: Hanımefendi sizdeki bu kronik enfeksiyon sorununu çözmemiz lazım, hem planladığınız bir gebelikte hem de ilerleyen jinekolojik süreçte size sorun olur. “Doktor bey benim oğlum da hafif otizm var, bu nedenle olmuş olabilir mi? Sebebin bu olduğunu eşim duymasın!

Sonuç: Maddiyatı bahane ederek tedavi olmadı!

Hasta 2: Hanımefendi sizdeki bu kronik enfeksiyon sorununu çözmemeiz lazım, hem planladığınız bir gebelikte hem de ilerleyen jinekolojik süreçte size sorun olur. “Doktor bey benim oğlum da otizm var, bu neden olmuş olabilir mi?”

Sonuç: Maddiyatı bahane ederek tedavi olmadı!

Hasta 3, 4, 5 , … : … – Maddiyatı bahane ederek hepsi topluca tedavi olmadı!

Sonuç: Maddiyatı bahane ederek tedavi olmadı!

Mesut Bayraktar – Klinik Deneyim

👩‍⚕️ Otizm & Jinekolojik Enfeksiyon : Anne İhmali Mi? Sessiz Bir Tehlike Sizi Bekliyor Olabilir!

👉 Hamilelikte yaşadığınız tekrarlayan vajinal akıntılar, bebeğinizin beyin gelişimi için tehlikeli midir?
👉 Annenizin, çevrenizin önemsemediği o “masum” akıntılar, ileride fark edilecek bir tablonun habercisi olabilir mi?

👉 Basit bir jinekolojik sorun sandığınız durum, yavrunuzda ciddi bir hastalığın, örneğin nörogelişimsel bir bozukluğun tetikleyicisi olabilir mi?

Kadın doğum uzmanı olarak 20 yılı aşkın klinik deneyimimde, bu soruları sessizce içine atan, utanarak soran ya da tamamen görmezden gelen yüzlerce anne adayıyla karşılaştım. Muayenehanemde, “Doktor bey benim oğlum da hafif otizm var, bu nedenle olmuş olabilir mi? Sebebin benden kaynaklı olduğunu eşim duymasın!” diyen, tedavi olmayı maddiyata bağlayarak erteleyen ve sonrasında pişmanlık yaşayan anneler gördüm.

Bu yazıda, Otizm & Jinekolojik Enfeksiyon : Anne İhmali Mi? sorusunu, bilimsel veriler ışığında ve sadece yabancı literatürü referans alarak masaya yatıracağım. Amacım size korku aşılamak değil; Muğla, Dalaman, Köyceğiz, Ortaca bölgesindeki kadınlar olarak sizleri, asendan enfeksiyonların yarattığı sessiz tehdit konusunda bilinçlendirmek ve jinekolojik sağlığınızın aslında gelecek neslin sağlığıyla ne kadar derinden bağlantılı olduğunu göstermektir.

Otizm spektrum bozuklukları (OSB), yaşamın ilk yıllarında sıklıkla ortaya çıkan nörogelişimsel bozukluklardan biridir ve sosyal etkileşim ve iletişimde anormallikler ile şiddetli şekilde kısıtlı ilgi alanları ve yüksek oranda tekrarlayan davranışlarla karakterizedir.

Otizm, her iki cinsiyette de görülen bir nörogelişimsel farklılıktır, ancak erkek çocuklara kızlara oranla daha sık tanı konulmaktadır. Güncel tahminler, erkeklerde otizm görülme sıklığının kızlara göre yaklaşık 3-4 kat daha fazla olduğunu göstermektedir. 

Yazı içerisinde bunun cevabını kısmen verecem ama websitemde cevap vardır. Bunun dışında beyin gelişimi de çok önemlidir.

Gebelik süreci boyunca Fetal beyinin ana gelişim aşamaları şunlardır:

  • Primer nörülasyon ( sinir plağının sinir tüpüne dönüşümünü içeren katlanma süreci) (3-4. haftalar),
  • Prosensefalik gelişim (2-3. aylar),
  • Nöronal proliferasyon (3-4. aylar),
  • Nöronal göç (3-5. aylar),
  • Nöronal organizasyon (5. aydan postnatal döneme) ve
  • Miyelinizasyon.
    • İnsan beyninin miyelinizasyonu rahim içinde ikinci trimesterde başlar ve doğum sonrası erişkinliğe kadar devam eder ve en hızlı büyüme hemen neonatal dönemde gerçekleşir. Beyin bilinç olmadan gelişmez. Beyin gelişimi ile birlikte bilinç gelişimide senkron şekilde devam eder. 
enfeksiyonla bebek beyninin değişerek bozulması - otizm, hiperaktivite
Beyin ve bilinç adım adım sürekli gelişir. En hassas dönem rahim içidir.
Beyin ve bilinç adım adım sürekli gelişir. En hassas dönem rahim içidir. Temelin inşası sağlam olacak !
  • 👉Enfeksiyon ve şizofreni arasındaki ilişki trimestere bağlı mıd
  • 👉 Bu patolojik prezentasyonda hangi enfeksiyonlar rol oynar?

Güncel tahminlere göre, otizm spektrum bozukluğu (ASD) ABD’de her 59 çocuktan 1’ini etkilemektedir ve en yaygın nörogelişimsel bozukluklardan biridir, ASD’li bireylerin yaklaşık %10–20’sinde genetik (özellikle Frajil X Sendromunda X kromozomundaki FMR1 gen mutasyonu) bir neden belirlenebilmektedir.

 👉 Peki ya geri kalan % 80? İşte bu noktada, maternal enfeksiyonlar ve inflamasyon devreye giriyor.

“Benim hiçbir enfeksiyonum yoktu ki!” diye düşünebilirsiniz. Peki ya belirti vermeyen, sessizce ilerleyen, sadece vajinal floranızda küçük bir dengesizlik olarak başlayıp, “her kadında olur diyerek normalleştirdiğiniz” sizin fark etmediğiniz veya akıntılı bir yaşama tercih etmeniz nedeniyle patolojik adaptasyon geliştirdiğiniz bir kronik jinekolojik enfeksiyon süreciniz varsa?

İşte asıl mesele tam da bu noktada başlıyor.

Birazdan, sadece jinekologların değil, çocuk nörologlarının ve psikiyatristlerin de üzerinde titizlikle durduğu, genital trafik adı verilen mekanizmanın, bebeğinizin beynine uzanan o kritik yolculuğunu deşifre edeceğiz.

Bakteriler, virüsler ve parazitlerden kaynaklanan enfeksiyon, patojene bağlı olarak fetal ölüme, organ hasarına veya sınırlı sekellere yol açabilir.

Gebelikte bebeğe teratojenik patojenler klasik olarak TORCH paradigması altında ele alınmıştır, ancak fetüse zarar verebilecek veya plasental gelişim ve işlevi etkileyebilecek çok daha geniş bir bakteri, virüs ve parazit grubu da vardır.

Hamilelik sırasında bakteriyel enfeksiyonlar plasenta ve fetal membranların iltihaplanmasını tetikleyerek plasentit, desiduit ve koryoamniyonite neden olabilir. Bunu birazcık açmak gereklidir. Gelişmiş dünyada, rahim içi bakteriyel enfeksiyonlar erken doğuma önemli ölçüde katkıda bulunur. Bakteriyel bir rahim içi enfeksiyondan sonra hayatta kalan, son derece prematüre bebekler genellikle ciddi morbidite ve kronik akciğer hastalığı, astım, Serebral palsi ve nörogelişimsel sorunlar gibi uzun vadeli sekeller yaşarlar.

ASD gelişiminde genetik faktörlerin yanı sıra hava kirliliği, pestisitler, mikroplastikler, ağır metaller, bazı ilaçlar (Acetaminophen (paracetamol)), alkol, diyabet, obezite, D vitamini eksikliği, maternal mikrobiyota değişiklikleri, preeklampsi ve enfeksiyonlar gibi gebelikte karşılaşılan etkenlerin ASD riskini artırabilmektedir.

CMV, enterovirüs, insan papilloma virüsü (HPV), Zika virüsü ve diğer arbovirüsler ve Candida spp. gibi virüsler ve mantarlar da koryoamniyonit gelişimiyle de ilişkilidir.

Bir İspanyol kohort çalışmasında, gebelikte asetaminofen (parasetamol)kullanan annelerin çocuklarında 5 yaşında dikkat işlevlerinde bozulma ve erkek çocuklarda otizm belirtilerinde artış olduğunu göstermektedir.

Çeşitli kanıtlar, enfeksiyon ile değişmiş beyin gelişimi arasında bir bağlantı olduğunu desteklemektedir. İnfluenza ve HIV gibi maternal enfeksiyonlar, otizm spektrum bozukluklarının gelişimi, bilişsel test puanlarında farklılıklar ve bipolar bozukluk ile ilişkilendirilmiştir; bu ilişki hem epidemiyolojik hem de retrospektif çalışmalarda gösterilmiştir. Çeşitli viral, bakteriyel ve paraziter hastalıklar, beyin kalsifikasyonları ve hidrosefali dahil olmak üzere fetal beyin yapısal anomalilerindeki değişikliklerle ilişkilidir. Enfeksiyon süreci, çeşitli proinflamatuar biyobelirteçlerin (IL-6, TNF-α gibi) salınımına ve enfeksiyöz intrauterin ortam (koriyoamnionit) veya göbek kordonu (funizit) ile uyumlu histolojik değişikliklere neden olan inflamatuar yolları aktive edebilir. İnflamatuar sitokinlerdeki yükselmeler, serebral palsi, şizofreni ve otizm ile ilişkilidir.  Çok sayıda kanıt, fetal gelişimin kritik dönemlerinde meydana gelen maternal enfeksiyon ve inflamasyonun, zamana duyarlı bir şekilde beyin yapısını ve işlevini teorik olarak değiştirebileceği teorisini, değişen kesinlik dereceleriyle de olsa desteklemektedir.

👉 Peki, vajinadaki bir mikrop nasıl oluyor da bebeğin beynine ulaşabiliyor? 

Bu noktada devreye giren ve tıp literatüründe “Genital Trafik” olarak adlandırılan mekanizma, belki de jinekolojinin en az bilinen ama en hayati sırlarından birini barındırıyor.

Klinik Pratiğimizde En Sık Gördüğümüz Nedenler

Kronik Jinekolojik Enfeksiyon Tedavi Edilmezse Neler Olur?

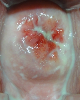
👉 Şu resimlerdeki enfeksiyöz tabloya gebelik boyunca maruz kalsanız siz ne hissederdiniz?

vajinal akıntı
Korioamnionit konusunu bilmeden gebe kalmayın!
vajinal akıntı
İltihaplı rahime gebe kalmayın
vajinal akıntı
Gebelik bireyin en kırılgan ve hassas anıdır!
vajinal akıntı
Sıfır vajinal akıntı sağlıktır

Klinik pratiğimde Muğla, Dalaman, Ortaca ve Köyceğiz’den gelen kadınlarda en sık karşılaştığım ve Otizm & Jinekolojik Enfeksiyon : Anne İhmali Mi? sorusunu gündeme getiren tablolar şunlardır:

  1. Tedavi Edilmeyen Vajinozlar: Özellikle bakteriyel vajinozis, vajinal florayı bozarak patojen bakterilerin (Gardnerella, Atopobium gibi) asendan yolculuğunu kolaylaştırır.
  2. Tekrarlayan Mantar Enfeksiyonları: Candida türleri, vajinal mukozada yarattığı hasarla diğer patojenlere kapı açar.
  3. Servikal Hasar: Daha önce doğum, kürtaj veya cerrahi işlem geçirmiş kadınlarda servikal kanalın bariyer fonksiyonu bozulur. Hasarlı serviks, adeta asendan enfeksiyonlar için hız sınırsız, radarsız otoyol görevi görür.
  4. Pelvik İnflamatuar Hastalık: Kronikleşen pelvik enfeksiyonlar, sadece tüplerde hasar ve kısırlığa yol açmakla kalmaz; aynı zamanda subklinik (sessiz, semptomsuz) inflamasyonun sürekliliğini sağlar.

Tayvan’da yapılan bir nüfus tabanlı vaka-kontrol çalışmasında, 4.184 otizm spektrum bozukluğu (OSB) tanılı çocuk ile 16.734 sağlıklı kontrol çocuğunu karşılaştırarak gebelikteki enfeksiyonların OSB riskiyle ilişkisini araştırmıştır. Çalışmanın en dikkat çekici bulgusu, üçüncü trimesterde (gebeliğin son üç ayı) genital enfeksiyon için iki veya daha fazla doktor ziyareti yapan annelerin çocuklarında OSB riskinin %34, aynı dönemde bakteriyel enfeksiyon geçirenlerde ise riskin %24 arttığının gözlenmesidir. Ayrıca enfeksiyon şiddeti arttıkça riskin de kademeli olarak yükseldiği (doz-tepki ilişkisi) tespit edilmiştir.

👉 “Rahim ağzımda bir sorun yok, düzenli smear yaptırıyorum” diyorsanız, durun! Servikal yetmezlik ya da hasar, sadece “açık” olmakla sınırlı değildir. Mikroskobik düzeydeki hasarlar bile, özellikle ovulasyon döneminde rahim kasılmalarıyla vajinadaki içeriğin 28-34 dakika gibi kısa bir sürede tüplere ve karın içine ulaşmasına neden olabilir.

Bakterilerin vajinadan uterusa rutin olarak hamilelik sırasında mı yoksa sadece özel koşullar altında mı taşındığı bilinmemektedir. Fakat patolojik genital trafik durumunun Fetusu etkilediği açıktır.

Brezilya’nın kuzeydoğusunda Möbius sekansı tanısı alan 23 çocuk üzerinde yapılan bir çalışmada, otizm spektrum bozukluklarının görülme sıklığı araştırılmış. DSM-IV tanı kriterlerine göre 23 hastanın beşinde (%26,1) otizm tespit edilirken, iki yaşından küçük iki hastada (%8,6) otizm benzeri davranışlar gözlenmiştir. En dikkat çekici bulgu, otizm tanısı alan beş çocuğun üçünün (%60) ve otizm benzeri davranış gösteren iki çocuğun birinin (%50) annelerinin gebeliğin ilk trimesterinde misoprostol (düşük amaçlı kullanılan bir ilaç) kullandığını bildirmesidir. Yazarlar, Möbius sekansı olan hastalarda otizm görülme sıklığının genel popülasyona göre 100 kattan fazla olduğunu belirterek, bu güçlü ilişkinin tesadüf olamayacağını ve özellikle gebeliğin 4-6. haftalarında misoprostole bağlı gelişen erken dönem beyin sapı hasarının otizm patogenezinde rol oynayabileceğini öne sürmüşlerdir.

Ne Zaman Normal? (Semptomların Değerlendirilmesi)

Jinekolojik enfeksiyonlarda “normal” diye bir durum yoktur. Ancak, her enfeksiyon doğrudan otizme yol açacak diye bir kural da yoktur. Önemli olan, enfeksiyonun süresişiddeti ve gebeliğin hangi döneminde meydana geldiğidir. Beynin gelişim aşamaları (primer nörülasyon 3-4. hafta, prosensefalik gelişim 2-3. ay, nöronal göç 3-5. ay) kritik pencerelerdir. Bu dönemlerde meydana gelen ve maternal inflamasyon ile sonuçlanan bir enfeksiyon, otizm riskini artırır.

Ne Zaman Tehlikeli ve Hangi Durumda Doktora Gitmeliyim?

Otizm & Jinekolojik Enfeksiyon : Anne İhmali Mi? sorusunu kafanızdan silmek ve güvende olmak için aşağıdaki durumlarda vakit kaybetmeden bir kadın doğum uzmanına başvurmalısınız:

  • Gebelik planlıyorsanız ve tekrarlayan vajinal akıntı şikayetiniz varsa.
  • Halihazırda gebeliğinizin herhangi bir döneminde kokulu, renkli veya kaşıntılı akıntı yaşıyorsanız.
  • Daha önce erken doğum veya suyun erken gelmesi öykünüz varsa.
  • Smear testinizde anormallik çıkmışsa veya servikal yetmezlik tanınız varsa.
  • Bebeğin cinsiyeti erkek ise !

En Çok Merak Edilen Soruya Gelelim

👉 Peki, bu genital enfeksiyonların bebeğe zarar verdiğini nasıl anlayacağım?
👉 Gebelik takibimde hangi testler bunu gösterecek?” 

İşte tam da bu noktada, konuyu teorik bilgilerden çıkarıp, tıbbi değerlendirme boyutuna taşımamız gerekiyor. Testler gerçek durumu yakalana kadar iş işten geçmiş olabilir. Burada jinekolog Hekimin tecrübesi ve hekim kanaati önem kazanmaktadır!

Artık teorik bilgileri bir kenara bırakıp, konuyu tıbbi değerlendirme boyutuna taşıyalım.

Tıbbi Değerlendirme Gereken Bölümler

Tanı Nasıl Konur?

  • Detaylı Jinekolojik Muayene: Vulva, vajina ve serviksin spekulum ile değerlendirilmesi.
  • Akıntı Örneği Mikroskopisi (Nativ): Anında tanı koymamızı sağlar. Mantar, trikomonas, “clue cell” (bakteriyel vajinozis göstergesi) burada görülür.
  • Kültür ve Mikrobiyota PCR Testleri: Mycoplasma, Ureaplasma, Chlamydia trachomatis, Neisseria gonorrhoeae gibi atipik ve kronik enfeksiyon etkenlerini tespit eder.
  • Servikal Değerlendirme (Ultrason):, Kolposkopi Servikal uzunluk ölçümü, servikal yetmezlik, servikal hasar, servikal patoloji riskini ortaya koyar.
  • Gebelikte İleri Testler: Koriyoamniyonit şüphesinde maternal inflamatuar belirteçler (CRP, prokalsitonin) takip edilir.

Uzman Görüşü

Benim klinik deneyimim, özellikle Fragile X sendromu gibi X’e bağlı hastalık öyküsü olan ailelerde, altta yatan kronik enfeksiyon zemininin çok daha sık görüldüğü yönündedir. X’e bağlı hastalık, nesiller boyu devam etmiş anne kaynaklı, bozulmuş yumurtalık rezervi ve kronik enfeksiyon tablosuyla sıklıkla birlikte seyreder. Bununla ve bunun dışında annenin stres -sıkıntı – menfi etken altında kalmış yumurtalıklarında bulunan yumurtalardan oluşan gebeliğe Korioamnionit gibi gebelik iltihaplarının eklenmesi (override hastalık) durumunda Otizm, hiperaktivite ve | veya ektopi – ektropiyonlar ile giden hastalıkların yavrularda zaman içerisinde çıkması (tanının gelişme ile beraber konulması) sürpriz olmamalıdır.

📋
Öncelikle Sakin Olun - Hızlı Checklist
Aşağıdaki sorulardan herhangi birine yanıtınız 'Evet' ise, bu makaleyi okuduktan sonra bir jinekolog ile görüşme planlamanız faydalı olacaktır.
Son 1 yıl içinde en az 3 kez vajinal mantar veya akıntı tedavisi gördünüz mü?
Gebeliğiniz sırasında “sularım geldi” şüphesiyle hastaneye başvurdunuz mu?
Daha önceki doğumunuzda erken doğum (37 haftadan önce) yaşadınız mı?
Düzenli olarak jinekolojik kontrol yaptırıyor
smear testi oluyor musunuz?
Gebelik planlaması öncesi jinekoloğunuza “genital enfeksiyon” şikayetinizden bahsettiniz mi?
0 / 6 soruya "Evet" yanıtı verdiniz.
💡
Bu bilgiler genel bir rehber niteliğindedir. Otizm şikayetinizin altında yatan kişisel nedenin belirlenmesi, doğru tanı ve size özel tedavi planının oluşturulması içi en yakın jinekolog doktora veya Muğla’daki merkezimize randevu alarak başvurabilirsiniz. Sağlığınız, en değerli hazinenizdir.

Muayenede Özellikle Şuna Bakılır

Muayene sırasında jinekoloğunuz sadece “akıntı var mı?” sorusunu sormaz. Serviksinizin görünümüneakıntının pH’ınavajinal floranızdaki dengeye ve hatta servikal kanalın açıklığına bakar.

👉 Peki ya siz farkında olmadan bu muayeneleri yaptırmıyorsanız?

İşte o zaman sessiz ilerleyen bir asendan enfeksiyon – genital trafik fark edilmez.

📋
Öncelikle Sakin Olun - Hızlı Checklist
Aşağıdaki sorulardan herhangi birine yanıtınız 'Evet' ise, bu makaleyi okuduktan sonra bir jinekolog ile görüşme planlamanız faydalı olacaktır.
Gebelikte ateş ile birlikte kötü kokulu vajinal akıntı
Kasık ağrısı ve rahimde hassasiyet
Bel ağrısı ile birlikte vajinal akıntı
Vajinal akıntı ile birlikte diş çürükleri
Sularınızın gelmesi (şeffaf kokusuz sıvı gelmesi) özellikle 37 haftadan önce
Aşırı kaşıntı ve genital bölgede şişlik
0 / 6 soruya "Evet" yanıtı verdiniz.
💡
Bu bilgiler genel bir rehber niteliğindedir. Otizm şikayetinizin altında yatan kişisel nedenin belirlenmesi, doğru tanı ve size özel tedavi planının oluşturulması içi en yakın jinekolog doktora veya Muğla’daki merkezimize randevu alarak başvurabilirsiniz. Sağlığınız, en değerli hazinenizdir.

Çoğu Kişinin Bilmediği Kritik Nokta

Çoğu kişinin bilmediği kritik nokta şudur: Enfeksiyon sadece bebeğe direkt geçerek değil, plasentada yarattığı hasar ve tetiklediği inflamatuar yanıt yoluyla da bebeğin beyin gelişimini bozar. Yani bebeğin kendisi enfekte olmasa bile, annenin vücudundaki sitokin fırtınası, fetal beyinde hasar oluşturabilir. Peki bu hasarı önlemenin bir yolu var mı?

Var !

Tedavi Seçenekleri

Otizm & Jinekolojik Enfeksiyon : Anne İhmali Mi? sorusunun tek bir cevabı vardır: Erken tanı ve etkin tedavi.

  1. Antibiyotik/Antifungal Tedavi: Kültür sonucuna göre hedefe yönelik, gebelikte güvenli antibiyotiklerle tedavi.
  2. Vajinal Flora Düzenlemesi: Probiyotikler (Lactobacillus spp.) ve prebiyotiklerle vajinal pH’nın düşürülmesi, patojen bakterilerin üremesinin engellenmesi.
  3. Servikal Serklaj: Servikal yetmezlik tespit edildiğinde, erken doğumu ve asendan enfeksiyonu önlemek için rahim ağzına dikiş atılması.
  4. Gebelik Takibinin Sıkılaştırılması: Risk grubundaki gebelerde servikal uzunluk ölçümlerinin sık yapılması, gerektiğinde yatak istirahati.

Özet

Otizm & Jinekolojik Enfeksiyon : Anne İhmali Mi? sorusuna bilimsel veriler ışığında verilecek cevap, “ihmal” değil, “bilinçsizlik”tir. Gebelikteki jinekolojik enfeksiyonlar, ihmal edildiklerinde, fetal beyin gelişimini olumsuz etkileyerek nörogelişimsel bozukluk riskini artırabilir. Ancak bu, önlenebilir bir risktir. Düzenli jinekolojik kontroller, gebelik öncesi danışmanlık, enfeksiyonların zamanında ve doğru tedavisi ile bu risk en aza indirilebilir. Unutmayın, sağlıklı bir vajinal flora, sağlıklı bir gebeliğin ve sağlıklı bir neslin temel taşıdır.

s) Sık Sorulan Sorular (SSS)

💡 Unutmayın, “benim bir şeyim olmaz” yaklaşımı, jinekolojik sağlıkta en büyük risktir. Tekrarlayan akıntı, kaşıntı veya rahatsızlık hissi “normal” kabul edilmez. Bu şikayetler, vücudunuzun size bir mesajıdır. Basit bir jinekolojik değerlendirme, bu mesajın anlamını çözmeniz ve sağlıklı bir gebelik yolculuğuna güvenle adım atmanız için yeterlidir.

Bu bilgiler, genel bir rehber niteliğindedir. Kişisel durumunuzun değerlendirilmesi, varsa kronik enfeksiyon zemininin tespiti ve tedavisi için, size en yakın jinekolog doktordan veya kliniğimizden randevu alarak detaylı bir değerlendirme yaptırmanızı öneririm. Sağlığınız, geleceğe bırakacağınız en değerli mirastır.

✍ Bu konu ile ilgili şikayetleriniz & ilginiz varsa, illiyet bağı olan tüm etkenlere hakim olmak istiyorsanız şu konulara da bakabilirsiniz.

Gebelikte senin hastalıklara sabretmene, dayanmana, direnmene Fetus dayanmaz.
Gebelikte senin hastalıklara sabretmene, dayanmana, direnmene Fetus dayanmaz. Fetal dönem bireyin en kırılgan, en hassas anıdır. Sen sabrederken, o bozulur hasta olur. Yaşaması etkilenmediğini göstermez.
gebeligi-dusundugun-an-eski-hayatina-hic-bir-sey-olmamis-gibi-aynen-devam-edemezsin
Gebelikte; Masraftan Kaçarsan Bebekten; ikbal Bekleme ! Dip Not: Bunu Yapanların Ortak Savunması "Her Şeyi Yaptım, Dünya Kadar Para Verdim, Ne İstediler İse Verdim" Şeklinde Savunmalı İnkardır. Peki İkbal Niye Yok ! Enfeksiyonsuz - İltihapsız, miyomsuz, kanamasız, polipsiz, vb ... rahime gebe kalmak en İyi başlangıçtır.Gebelik başlamadan önce jinekolojik muayene, gebelik öncesi hazırlık çok önemlidir. İşte bu yüzden gebelikten İkbal bekliyorsanız, masraftan kaçmamalısınız, kısıntı yapmamalısınız gebelikte ikbal istiyorsan tasarruf olmaz

Referanslar

{20109990:WNEKB8KH};{20109990:PWBVSB9A};{20109990:GJIVL76M};{20109990:S2H7JNDJ};{20109990:JE4QBZRT};{20109990:BIX5ELNK};{20109990:7YLM8RVQ} apa default 0 167