Hayat Ağacı – Rahim – Uterus; Vajinal enfeksiyonları olan, vajinal doğum yapmış, menopozdaki kadında Arbor Vitae Uteri deforme kaybolmaktadır.
Hayat Ağacı – Rahim – Uterus
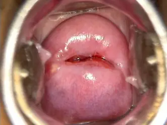
Rahim ağzının boyutu şekli kadının yaşına, paritesine, hormonal durumuna göre değişiklik gösterebilir.


Doğum yapmamış kadında dış os ortalama olarak 3- 4 mm çapındadır. Pürüzsüz dokulu, zengin pembe renktedir. Dış os menstrüel faza bağlı olarak berrak veya bulanık mukus içerebilir.
İç os ile dış os’u birleştiren kanal endoservikal kanal veya endoservikstir. Endoservikal kanal 3.5 – 4 cm uzunluğunda, kırmızı veya turuncu-kırmızı renktedir. Endoserviksin mukozası uzunlamasına kıvrımlara sahiptir, bunlara servikal kripta denir. Bu, kripta formasyonu mukus salgılayan sütunlu hücrelerin ( kolumnar hücreler) yüzey alanını arttırır, plika palmatae olarak bilinir.
Plika palmattan, çevresel olarak daha fazla dallanma kıvrımları ortaya çıkar, arbor vitae uterina ( hayat ağacı) olarak adlandırılan palmiye ağacı benzeri desen oluşturur. Bu kıvrımların arasına, derinliği 1 – 2 mm ile 12 mm arasında değişen yarıklar girer.



Arbor Vitae Uteri Cervix; Çok sayıda ikincil kıvrımın veya rugae’nin dallandığı serviks uteriyi kaplayan mukoza zarındaki ön – arka iki uzunlamasına sırt içerir
Rahim ağzı kanalında bu şekilde artırılmış bir yüzey alanı;
- Daha kaliteli servikal mukus üretimine
- Üretilen mukusun aşağı doğru akmasını engellemeye
- Mukusun daha stabil şekilde servikal kavite içerisinde kalmasını sağladığı için enfeksiyon etkenlerinin rahim içine ilerlemesini engellemekte
- Sperm rezervuarizasyonunu kolaylaştırmakta
- İki duvardaki kıvrımlar (Arbor Vitae’ler) tam olarak karşıt değildirler, bundan dolayı servikal mukus azlığında veya olmadığında servikal kanalı kapatacak şekilde birbirinin arasına girdiğini (koaptasyon mekanizmasını) düşünmek mantıklıdır.
- Kolumnar servikal hücreler arbor vitae üzerinde mükemmel bir dizilime sahip olduğundan daha kaliteli lokal immünolojik defans sağlanması hasıl olabilmektedir.
hayat ağacı görünümü her kadında yoktur.
- Sürekli vajinal enfeksiyonları olan kişilerde Arbor Vitae Uteri Cervix deforme olmakta, kaybolmaktadır.
- Arbor Vitae Uteri Cervix vajinal doğum yapmış kadınlarda deforme olduğundan kaybolmaktadır.
- Menopozdaki kadınlarda görülmemektedir.



Muğla

Kadın



Rahim Ağzı Yırtığı - Emmet Yırtığı - Gizli Tehlike - 2026
Ocak 1, 2026[…] Hayat Ağacı – Rahim – UterusAllen Masters SendromuKarın İçi Zarlarının Yırtılması !Emmet Yırtığının Bir İleri Seviyesi !Kimerizm MikrokimerizmServikal Ektropion Erozyon Rahim Ağzında Yara – Muğla […]
Servikal Kanal Yetmezliği (Servikal Mukus Reflüsü) - 2026
Ocak 28, 2026[…] Hayat Ağacı – Rahim – UterusRahim Ağzı Yırtığı – Emmet Yırtığı – Gizli TehlikeServikal Ektropion Erozyon Rahim Ağzında Yara – Muğla […]
Nabouth Kisti - Rahim Ağzı Kisti - 2026
Şubat 7, 2026[…] kistleri ile ne alakası var demeyiniz !Flebolit – Ven Taşı – Damar TaşıHayat Ağacı – Rahim – UterusRahim Ağzı Yırtığı – Emmet Yırtığı – Gizli Tehlike20 Yıl Boyunca Vajinal […]