Over rezervi, kadınların yumurtalık kapasitesini belirleyen kritik bir faktör. Doğurganlık potansiyelini etkileyen jinekolojik kondisyonlar, testler ve koruma yollarını öğrenin. Muğla, Dalaman, Köyceğiz ve Ortaca’da uzman jinekolojik destek alın.
Yumurtalık İltihabında
Kadınlar Yumurtalarının ( Foliküllerinin )
** Bozulmadığını,
** Taptaze Fresh ,
** Orjinal
Olarak Kaldığını Düşünüyor.
O Yüzden Vajinal Akıntı Asla Bir Problem Değil.
Yıllarcada Umursamadan Bununla Yaşıyor.
Hatta Annesinin Akıntısıyla Kontamine Olmuş Fetal – Çocukluk Dönemi de Var.
Vajinanız Kadar Sağlıklısınız
SIFIR Vajinal Akıntı Sağlıktır.
Yumurtanın Kendi kendine çatladığına İnanıyorsun da; Bozulduğuna mı İnanmıyorsun !
Over Rezervi: Yumurtalık Kapasitesi ve Doğurganlık Potansiyelini Keşfedin – Yumurtalığın Gücü
Over Rezervi Tanımı ve Ölçümü
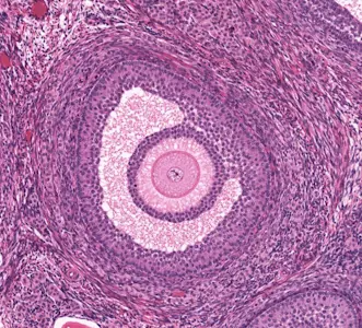
Over rezervi, yumurtalıklardaki üreme amaçlı depolanmış yumurta hücresi (oosit) sayısını ifade eder. Başka bir deyişle, bu kadının “yumurta stokudur”. Doğuştan milyonlarca yumurtayla gelen bir kadın, ergenlikle yaklaşık 300–400 bin yumurtaya sahip olur; 30’lu yaşlara gelindiğinde ise rezerv giderek tükenir, yaşlanma ile oosit sayısı geri dönülmez şekilde azalır, menopozda 1000 sayısının altına iner. Bu nedenle over rezervini bir banka hesabındaki para birikimine benzetebiliriz: her ay harcama (ovulasyon – yumurtalama) yaptıkça stok azalır. Gerçekten de üreme yaşındaki bir kadının yumurta stoğu zamanla, özellikle 30 yaş sonrası hızlanarak tükenir.
Miyom veya endometriozis, sineşiler, otoimmün hastalıklar gibi sorunlar varsa, bu kayıp hızlanır. Yumurtalığın rezervi yüksek için spontan kayıp daha fazladır (çok iken çok, az iken az kaybolur). Türk kadınlarının günlük hayatında, stresli işler veya çevresel faktörler bu gücü sinsice zayıflatabilir.
Over rezervinin halk dili karşılıkları
- Yumurtalık kapasitesi
- Yumurtalıkların yumurta stoğu
- Kadının yumurta sayısı
- Yumurtalıkta kalan yumurta miktarı
- Doğurganlık rezervi (daha genel bir ifade)
- Yumurtalıklarınızda kalan yumurta sayısı ve kalitesi
- İleride hamile kalma potansiyelinizi gösteren durum
Over Rezervini Nasıl Ölçülür?
Ölçüm açısından over rezervini değerlendirmek için bazı kan testleri ve ultrason yöntemleri kullanılır.
En sık bakılan hormon Anti-Müllerian Hormon (AMH)’dur. Yapılan çalışmalar, AMH seviyesinin kalan yumurta sayısı ile doğrudan ilişkili olduğunu ve diğer testlere göre daha güvenilir bir gösterge olduğunu göstermiştir. Yani düşük AMH, azalmış yumurta rezervinin işareti olarak yorumlanır.
Ayrıca FSH, estradiol (E2) testi ve ultrasonla antral folikül sayımı gibi yöntemlerle de over rezervi tahmin edilir. Örneğin Muğla’daki kadın doğum merkezlerinde, <a href=”https://muglakadindogum.net/” target=”_blank”>Muğla Kadın Doğum</a> gibi kliniklerde bu hormon testleriyle over rezervi kolayca ölçülebilir. Bölge kadınları, bu testlerle yumurtalık kapasitesini öğrenip doğurganlık planlaması yapabilir.
AMH nereden salgılanır?
AMH (Anti-Müllerian Hormon), yumurtalıklarda bulunan küçük ve gelişmekte olan foliküllerin içindeki granüloza hücrelerinden salgılanır. Primordiyal germ hücrelerinden salgılanmaz!
Daha net ifade etmek gerekirse:
- AMH, preantral ve küçük antral foliküller (yaklaşık 2–10 mm) tarafından üretilir.
- Primordial foliküllerden ve dominant (büyük) foliküllerden anlamlı AMH salgılanmaz.
- Bu nedenle AMH düzeyi, aktif ve kullanılabilir yumurta havuzunu yansıtır.
Klinik açıdan önemli diğer noktalar :
- AMH, hipotalamus veya hipofiz kaynaklı bir hormon değildir.
- Menstrüel siklus boyunca görece stabildir, bu nedenle siklusun herhangi bir gününde ölçülebilir.
- Yumurtalık rezervi azaldıkça (ileri yaş, cerrahi, endometriozis, kemoterapi vb.) AMH düşer.
- Menopozda ve over yetmezliğinde çok düşük ya da ölçülemez hale gelir.
Transvajinal Ultrasonografi Over Rezervi Tespitinde Neden Kullanılır?
Ultrasonla Over Rezervini Değerlendirmek
En ucuz, hızlı, tekrar edilebilir, non invazif yöntemdir.
Over rezervinin değerlendirilmesinde en yaygın yöntemlerden biri, transvajinal ultrasonografi (TVUSG) ile antral folikül sayımı (AFC) yapmaktır. Bu yöntem, non-invaziv, hızlı ve güvenilir bir şekilde yumurtalık kapasitesini ölçer.
Transvajinal Ultrasonografi (TVUSG) Nedir ve Neden Kullanılır?
Transvajinal ultrasonografi, vajina yoluyla yapılan bir ultrason incelemesidir. Bu teknik, abdominal (karın üzerinden) ultrasona göre daha net görüntüler sağlar çünkü ultrason probu yumurtalıklara daha yakındır. TVUSG, over rezervini değerlendirmek için ideal bir araçtır çünkü antral folikülleri (küçük, dinlenme halindeki yumurta kesecikleri) doğrudan görselleştirebilir. Bu foliküller, yumurtalıkların içindeki 2-9 mm çapındaki sıvı dolu yapılarıdır ve rezervin bir göstergesidir.
TVUSG’nin over rezervi değerlendirmesindeki üstünlüğü, yüksek çözünürlüklü görüntüler sağlamasından gelir. Örneğin, birden fazla çalışma, TVUSG’nin antral folikül sayımını doğru bir şekilde yaparak IVF (tüp bebek) başarı oranlarını öngörebildiğini belirtmişlerdir.
Bu yöntem, adet döngüsünün herhangi bir gününde yapılabilir, ancak en doğru sonuçlar için genellikle adet döngüsünün erken foliküler fazında (adet başlangıcından sonraki 2-5. günler) tercih edilir. Bu dönemde foliküller daha stabil ve sayılabilir durumdadır.
Ultrasonla Antral Folikül Sayımı (AFC) Nedir?
Antral folikül sayımı, yumurtalıklardaki antral foliküllerin sayısını belirleme işlemidir. Bu foliküller, yumurtalık rezervinin bir yansımasıdır çünkü her ay bir grup folikül olgunlaşmaya başlar ve geri kalanı atılır. AFC, over rezervinin azaldığını erken tespit etmek için kullanılır. Düşük AFC, yumurtalıkların stimülasyona (örneğin tüp bebek tedavilerinde ilaçlarla) zayıf yanıt vereceğini işaret edebilir.
AFC, doğrudan over rezervini temsil eder çünkü antral foliküller, gonadotropin hormonlarına duyarlıdır ve yumurta üretim potansiyelini gösterir. Bir inceleme, AFC’nin over rezervini değerlendirmede altın standart haline geldiğini vurgulamıştır. Diğer testlerle (örneğin AMH hormonu seviyesi veya FSH testi) kombine edildiğinde daha kapsamlı bir resim çizer.
Prosedür: TVUSG ile AFC Nasıl Yapılır?
İşlem genellikle bir jinekolog veya üreme endokrinoloğu tarafından yapılır ve yaklaşık 10-15 dakika sürer. Adım adım şöyle:
- Hazırlık: Hasta, mesanesi boş olacak şekilde hazırlanır çünkü dolu mesane görüntüyü bozabilir. Adet döneminde yapılabilir, ancak kanama varsa hijyenik önlemler alınır. Hasta jinekolojik muayene pozisyonunda yatar.
- Prob Uygulaması: Vajinal ultrason probu, koruyucu kılıf ve jel ile vajinaya yerleştirilir. Bu, karın ultrasonuna göre daha az rahatsız edicidir ve daha detaylı görüntü sağlar.
- Görüntüleme: Prob, yumurtalıkları tarar. Her yumurtalığın kesitleri alınır ve antral foliküller (2-9 mm çapında, yuvarlak, sıvı dolu yapılar) sayılır. Sayım, her iki yumurtalık için ayrı ayrı yapılır ve toplam AFC hesaplanır. Örneğin, sağ yumurtalıkta 5, solda 6 folikül varsa toplam AFC 11’dir.
- Değerlendirme: Ultrason cihazı, folikülleri otomatik veya manuel olarak işaretler. Sayım sırasında, foliküllerin boyutu ve dağılımı not edilir. İşlem sırasında ağrı minimaldir; nadiren hafif kramp olabilir.
AFC Sonuçlarının Yorumlanması ve Over Rezervi Değerlendirmesi
AFC sonuçları, yaşa ve bireysel faktörlere göre yorumlanır. Genel rehberler şöyle:
- Yüksek Rezerv: AFC 20’nin üstündeyse, polikistik over sendromu (PCOS) gibi durumlar düşünülebilir, bu da aşırı stimülasyon riski taşır.
- Normal Değerler: 35 yaş altı kadınlarda her iki yumurtalıkta toplam 10-20 antral folikül beklenir. Bu, iyi over rezervi anlamına gelir ve doğal gebelik veya IVF’de yüksek başarı şansı verir.
- Düşük Rezerv: Toplam AFC 5’in altındaysa düşük over rezervi işaret eder. Bu durumda, yumurtalık stimülasyonu zayıf olabilir ve erken menopoz riski artar. Örneğin, 40 yaş üstü kadınlarda AFC’nin doğal olarak düşük olması beklenir.
AFC, over rezervini tahmin etmede %80-90 doğruluk sağlar. Bir çalışma, AFC’nin IVF’de yumurta toplama sayısını öngörmede etkili olduğunu göstermiştir. Ancak, sadece AFC’ye dayanmak yerine, AMH seviyesi ve yaş gibi faktörlerle birleştirilir. Düşük AFC, miyom, endometriozis veya cerrahi, kronik enfeksiyon gibi jinekolojik kondisyonlarla ilişkili olabilir.
Sadece sayıyı verir, yumurta kalitesini doğrudan ölçmez. Kaliteyi direkt ölçen bir test var mı?
- Yok !
- Klinik tecrübesi yüksek tecrübeli en en önemli faktördür.
Over Rezervi Her Kadında Azalır Mı?
Over Rezervini Azaltan Faktörler
Over rezervi her kadında zamanla azalsa da bazı faktörler bu süreci hızlandırır. En önemli etken kronolojik yaştır. Yaş en büyük etken, ama jinekolojik kondisyonlar da rol oynar. Rahim anomalileri veya doğum hasarları, rezervi yavaş yavaş tüketir. Ortaca’da sık görülen ileri yaş gebeliklerinde, bu rezervin önemi daha da artar. PubMed’de yayınlanan bir çalışma, fibrozis ve erken folikül kaybının rezerv azalmasına yol açtığını göstermektedir.
Kadınlar 35–40 yaş civarında hızla azalan rezervle karşılaşır; 40’lı yaşlarda doğumdaki yumurta stoğunun %10’unun altına inmesi normaldir
Bunların dışında jinekolojik ve enfeksiyöz durumlar over rezervini sessizce tüketebilir. Örneğin, belirti vermeyen kronik pelvik enfeksiyonlar (Chlamydia, gonore, vajinal mikrobiyom bozuklukları gibi) gizli olarak PID’a dönüşebilir. Bu durumda tüpler tıkanabilir, yumurtalıklarda iltihap gelişebilir ve AMH seviyesi düşebilir.
Özellikle asemptomatik vajinal akıntı, akut veya subklinik kronik rahim iltihapları ve viral enfeksiyonlar, yumurtalığın gücünü sinsice tüketir. Düşünün, bir bahçe gibi; görünmeyen kök çürüklüğü tüm bitkiyi mahveder. Gerçekten de kronik pelvik inflamasyon öyküsü olan kadınlarda AMH anlamlı düzeyde düşük bulunmuştur.
Viral enfeksiyonlar da zararlı olabilir: Örneğin HIV, … viral infeksiyonu over rezervini azaltırken, hepatit C enfeksiyonu AMH seviyelerinde düşüşe yol açabilir
Ayrıca jinekolojik hastalıklar ve müdahaleler over rezervini olumsuz etkileyebilir. Endometriozis (çikolata kisti), miyom ve rahim anomalileri uzun vadede yumurtalık işlevini bozabilir. Örneğin over kisti cerrahileri AMH seviyelerinde düşüşe neden olabilir.
Servikal (rahim ağzı) hastalıklar da önemli: Servikal displazi veya erken serviks kanseri öyküsü olan kadınlarda yapılan çalışmada AMH ve antral folikül sayısı anlamlı derecede düşük bulunmuştur. Bu sonuçlar, gizli servisit geçiren kadınlarda dahi over rezervinin daha hızlı tükendiğine işaret eder. Özetle, ilerleyen yaşa ek olarak gizli enfeksiyonlar, kronik iltihabi hastalıklar ve ilgili cerrahi işlemler, over rezervinin azalmasına yol açar.
Endometriozis ve Miyomun Rolü
Endometriozis, rahim dışı doku büyümesiyle over rezervini azaltır. ScienceDirect’te bir inceleme, miyomların ovarian rezerv üzerinde olumsuz etki yapabileceğini belirtiyor.
Miyomlar, yumurtalık kistleriyle birleşince doğurganlık potansiyelini baltalar. Muğla kadın doğum uzmanları, bu sorunları erken teşhisle yönetebilir – örneğin https://muglakadindogum.net/ gibi kaynaklar faydalı.
Rahim İltihabı ve Enfeksiyonlar
Rahim iltihabı (PID), yumurtalıkları iltihaplandırarak rezerv kaybına neden olur. PubMed de yayınlanmış araştırmalar, kronik pelvik inflamasyonun AMH seviyelerini düşürdüğünü kanıtlıyor. Asemptomatik vajinal akıntı, sessiz bir tehlike; vajinal akıntı trajedi yanlılığı makalesinde belirtildiği gibi, normal sanılan akıntı aslında enfeksiyonları gizler ve over disfonksiyonuna yol açar. Benzer şekilde, gizemli sır asemptomatik vajinal akıntı yazısında, bu akıntının ılık iltihaplanmayla rezerv tükenmesine neden olduğu Jinekolog dr. Mesut Bayraktar tarafından vurgulanmıştır.
Vajinal Akıntı ve Sinsice Tüketim
Asemptomatik vajinal akıntı, akut subklinik kronik rahim iltihapları ve viral enfeksiyonlar, over rezervini yavaş yavaş eritir. Sessiz yumurtalık iltihabı over disfonksiyonu içeriğinde, bu iltihapların granülosa hücrelerini hasarladığı anlatılıyor. Vajina yalamak gibi cinsel pratikler enfeksiyon riskini artırır, vajina yalamak vajinanın tadı makalesinde tad değişikliklerinin enfeksiyon belirtisi olduğu belirtilmiştir. Tuba uterina tıkanıklığı da, tuba uterina tıkanıklığı yazısında enfeksiyonlardan kaynaklanıp doğurganlığı engellediği için rezerv etkilenir.
Diğer Jinekolojik Sorunlar
Yumurtalık kistleri, karın içi enfeksiyonlar, sineşiler ve cerrahiler rezerv azalmasına katkıda bulunur.
PubMed’de, endometrioma cerrahisinin AMH düşüşüne yol açtığı gösterilmiştir.
Dış gebelik, yumurtalık fonksiyonunu bozar; ScienceDirect çalışması, ektopik gebeliğin ovaryen hasara yol açtığını belirtiyor.
Nabouth kisti gibi rahim ağzı kistleri, nabouth kisti rahim ağzı kisti makalesinde kronik servisit bağlantısıyla rezerv riski taşıdığı anlatılmış.
Servikal ektropion da, servikal ektropion servikal erozyon nedir yazısında vajinal disbiosisle ovaryen inflamasyona yol açtığı belirtilmiştir.
Over Rezervi Testleri ve Koruma Stratejileri
Over rezervini korumak, erken teşhisle mümkün. Testler, yumurtalık gücünü ölçer. Muğla’da histerosalfingografi gibi işlemler, histerosalfingografi ilaçlı rahim filmi Muğla makalesinde tüp tıkanıklıklarını tespit için önerilmiş.
En temel ve en etkili strateji sıfır vajinal akıntı ile jinekolojik sistemi maksimal denge içerisinde tutmaktır.
Sağlıklı yaşam, enfeksiyonlardan kaçınma ve düzenli kontroller. Rahim iltihabı PID gibi sorunlar, rahim iltihabı PID makalesinde kısırlık riskiyle bağdaştırılmış. Serviks iltihabı, serviks iltihabı servisit rahim ağzı iltihabı içeriğinde üst genital traktta yayılıp overleri etkilediği belirtilmiştir.
Temel Over Rezervi Testleri
AMH ve FSH testleri en yaygın. PubMed’de, AMH’nin FSH’den daha hassas olduğu vurgulanmış.
İltihaplı rahime gebe kalmak riskli; iltihaplı rahime gebe kalmak yazısında, enflamasyonun embriyo tutunmasını engellediği, hatta birey olacak fetusta, daha doğmadan, yumurtalıklarındaki oositlerin bozulabileceği de anlatılmıştır.
Over Rezervinin Günlük Hayata Etkisi
Üreme çağındaki kadınlar için over rezervi, anne olma hayalini, cinsel performansı, östrojenin stimule ettiği yaşam enerjisini şekillendirir. Eğer rezerv düşükse, adet döngüleri düzensizleşir, yumurtlama sorunları, vajinal kuruluk, isteksizlik, jinekolojik enfeksiyona eğilim, kemik erimesi, … başlar.
Muğla gibi sıcak bölgelerde yaşayan kadınlar, yazın aşırı sıcakların hormonal dengeleri bozabileceğini fark etmeyebilir. Dalaman veya Köyceğiz’de tarım işiyle uğraşanlar, fiziksel yorgunluğun yumurtalık gücünü azalttığını görebilir.
Over Rezervi ve Doğurganlık Potansiyeli
Düşük over rezervi & doğal gebelik şansı
Düşük over rezervi, doğal gebelik şansını azaltan önemli bir faktördür. Yumurtalıkta azalan yumurta sayısı, ay içerisindeki döllenme şansını da düşürür. Örneğin erken servikal lezyon geçmişi olan kadınlarda yapılan IVF çalışmalarında, bu grubun başlangıçta düşük AMH seviyesi ve az sayıda elde edilen oosit ile karşılaştığı gösterilmiştir. Dolayısıyla rezerv azaldıkça embriyo sayısı, kalitesi ve gebelik oranı düşme eğilimindedir.
Reprodüktif planlama açısından bu durumu bilmek önemlidir. Yumurtalık rezervi test sonuçları kadına gebelik zamanlaması konusunda ipuçları verir. Riski azaltmak için genç yaşta çocuk planlamak, zararlı alışkanlıklardan (sigara, toksik maddeler, gereksiz cerrahi) kaçınmak faydalıdır. Örneğin sigara içmek yumurta kaybını hızlandırdığı bilinmektedir. Ayrıca kendinizi düzenli jinekolojik muayeneler ile takip ettirmek, erken dönemde düşük rezervi saptamanıza ve gerekirse tüp bebek gibi yöntemleri değerlendirmenize olanak tanır.
Sonuç olarak, over rezervi kadınlarda doğurganlık potansiyelinin anahtar göstergesidir. Yaş ve genetik faktörler dışında enfeksiyonlar ve jinekolojik hastalıklar da rezervi sinsice tüketebilir. Bu nedenle üreme çağındaki kadınların over rezervi testlerini (özellikle ultason dahil AFC sayımını) yaptırmaları, gerekli önlemleri alıp kişiye özel tedavi planı oluşturmaları önerilir.

Muğla

Kadın






Vajinal Akıntı Mutasyon Yapar Mı? - Muğla Kadın Doğum - 2026
Ocak 3, 2026[…] Over RezerviMitokondri Neden Kadını Seçti?Sıfır vajinal akıntı sağlıktır […]
Yumurta Kalitesi - 2026
Ocak 3, 2026[…] Akıntı Mutasyon Yapar Mı? – Muğla Kadın DoğumOver RezerviSessiz Yumurtalık İltihabı – Over Di̇sfonksi̇yonuAsemptomatik Vajinal Akıntı – […]
Embriyo Kalitesi - 2026
Ocak 16, 2026[…] KalitesiOver RezerviTuba Uterina Tıkanıklığı – Tüplerin Kapalı OlmasıTüplerini bozarak, tıkayan […]
Çarpık Ayak - Pes Equinovarus - 2026
Ocak 16, 2026[…] KalitesiOver RezerviEmbriyo KalitesiTüplerini bozarak, tıkayan yumurtalığa hiç etki etmez mi?Bu Pes Equinovarus […]
Vajinada Peynirimsi Akıntı - 2026
Ocak 20, 2026[…] Asemptomatik Vajinal Akıntı – Ilık Ilık EnflamasyonJinekolojinin kör noktası !Sessiz Yumurtalık İltihabı – Over Di̇sfonksi̇yonuGenç yaşlarda yumurtalık gücünüzün azalması da sizi enfeksiyonlara açık hedef yapar.Over Rezervi […]
Kısırlık - İnfertilite - 2026
Ocak 26, 2026[…] Over SendromuOver RezerviEvlilik Öncesi Testler ve […]
Vajinal kuruluk genç yaşta neden olur? - 2026
Şubat 1, 2026[…] Vajinal Akıntı – Ilık Ilık EnflamasyonOver RezerviServikal Kanal Yetmezliği – Servikal Mukus […]
Endometriozis Tedavisi - Çikolata Kisti - 2026
Şubat 4, 2026[…] Ters Rahim; Rahim Yaş İken EğilirAdenomiyozis – Rahim BozulmasıOver Rezervi […]