Mitokondriyal Hastalıklar, Mutasyonlar, Disfonksiyon; Kadın, Gebelik , Epigenetik , Donasyon
Kadının (sen diye anla) sürekli enfeksiyona – sürekli vajinal akıntıya, sürekli rahim iltihabına maruz kalan bir genital sisteme ( ooforitis, over iltihabı, kronik vajinit, PID … overin içinde primordiyal hücreler bulunur) sahip olması; akut/kronik enfeksiyon etkisi nedeniyle primodiyal hücreleri ve de mitokondrileri deforme, mutasyona uğrama yatkınlığı ( heteroplazmik ) eder.
Bu deformasyon – heteroplazmik mtDNA yumurtaların(PGC), foliküllerin yaşlanmasını artırır; dolayısıyla folikül içindeki mitokondri DNA sında kümülatif stres birikmeye başlar.
Bu stresler kritik eşik geçilince mutasyonlara , mutasyonlarda çok rahat bir şekilde hastalıklara evrilebilmektedir. Kritik bir eşik geçildikten sonra Bottleneck etkisi nedeniyle apopitoz, şiddetli hastalık veya hücre ölümünü , kronik kadın hastalıkları, kronik yorgunluklar ve enfeksiyonlar , gebelik komplikasyonlarının gelişmesine sebep verebilmektedir.
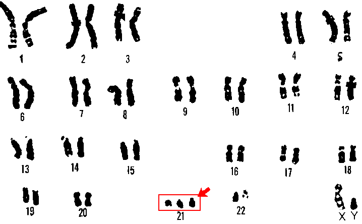
Anneannenizde devam eden kronik jinekolojik enfeksiyonlar ( ki bu enfeksiyonlar overlere çok yakındır) seçilecek oositin heteroplazmik olmuş mitokondri populasyonu; kızına( size) geçmektedir. Kızı da aynı şekilde yıllar süren jinekolojik enfeksiyona devam ettiğinde kümülatif heteroplazmik mtDNA gelişmekte, enerji kullanımı bozulmakta; mayoz esnasında kromozomal anöploidiye sebep olan nondisjunctiona( örneğin trizomi 21 e ) neden olmaktadır, ATP üretimi normal olmadığından, mikrotübüller çalışamayacağından, koromozomlar kutuplara çekilememektedir. Basit bir vajinal enfeksiyon – vajinal balgam bu şekilde kümülatif mtDNA hasarı neticesinde genetik etkilenmelere neden olabilir.


DNA metilasyonu
DNA metilasyonu, hücreler tarafından gen ekspresyonunu kontrol etmek için kullanılan epigenetik bir mekanizmadır. Ökaryotlarda gen ekspresyonunu kontrol etmek için bir takım mekanizmalar mevcuttur, ancak DNA metilasyonu, genleri ‘kapalı – duran‘ konumda sabitleyebilen yaygın olarak kullanılan bir epigenetik sinyalleme aracıdır.
Metilasyon ile genellikle hasarlı genler inaktive edilir.
Mitokondri, hamilelik sırasında fetal gelişim için ana metabolik enerji temini ve embriyonun değişen enerji gereksinimlerini karşılamada çok önemlidir . Ek olarak mitokondri fizyolojik seviyelerde ROS sinyali yoluyla folikülogenez, oosit olgunlaşması, korpus luteum ve uterus fonksiyonu, embriyogenez, embriyonik implantasyon ve fetoplasental gelişim gibi süreçleride düzenlemektedir.
IUGR ve Preeklampsi, fetüse oksijen ve besinlerin yetersiz transferine, yüksek inflamasyona ve oksidatif strese yol açan kusurlu plasental fonksiyon ile karakterize edilen bozukluklardır.
Mitokondri potansiyel olarak plasental yetmezliğin patogenezi ile ilişkili olabilir. Mitokondri miktarı, hücrelerin enerji ihtiyacını yansıtır; Mitochondria sayısı, oksidatif stres veya hipoksik ve besinden yoksun ortamlar altında değiştirilebilir ve mitokondriyal fonksiyonu etkiler .
Tetkikler
hekimin kanaatinden
üstün değildir.
Metillenme Bir Genomik Frendir
Metillenme Bir Genomik Frendir (metillenme ile genetik materyal paketlenerek kapatılır, paketleme aynı gerçek hayatta nasıl satın aldığımız ürünleri koruyorsa, metillenmede (paketlenme) genetik materyali korumaktadır).
Folik asit eksikliğinde, kronik enfeksiyon vede enflamasyon ( kronik PID, kronik vajinal akıntı, Endometriozis,…) mevcudiyetinde folik asit rezervlerinin aşırı kullanımı nedeniyle metillenme azalacaktır. Çünkü savaşan asker üretimi; lojistik rezervinizi tüketir.
Bundan dolayı PGC (ilk ham kök hücre) lerin uzun süre yetersiz metilasyonu nedeniyle, PGC de buluna mitokondriler etkilenecek ve heteroplazmik mtDNA birikmesi siz daha doğmadan, annenizin overlerin de bulunan PGC ler de başlayabilir.
Sebepsiz yere aşırı folik asit alımı, genetik materyalinizin paketli kalmasına sebep olur, paket içerisinde kalmış eşyayı – ürün durumundan, onun yeteneklerinden, yapacaklarından mahrum kalırsınız. Yani metillenme olayı bedenin aynı bilgisayardaki gibi “güvenli mod” durumudur.
Aynı enfeksiyon – enflamasyonla yaşama döngüsüne sizde anneniz gibi devam ettiğinizde, mitokondriyal kalıtım nedeniyle, kümülatif eşik heteroplazmi seviye aşıldığında hastalıklar başlayacaktır.
Genetik Darboğazı Etkisi (Bottleneck etkisi )
Nüfus darboğazı veya genetik darboğaz, kıtlık, deprem, sel, yangın, hastalık ve kuraklık gibi çevresel olaylar ( viremi, kronik vajinal akıntı, kronik PID, miyom, polip, kronik kansızlık, …) nedeniyle nüfusun büyüklüğünde keskin bir azalma yaratır.
- Bu tür olaylar, bir popülasyonun gen havuzundaki varyasyonunu azaltabilir; bundan sonra, daha küçük bir genetik çeşitliliğe sahip daha küçük bir popülasyon, cinsel üreme yoluyla genleri gelecek nesillere aktarmak için kalır.
- Bu şekilde , genetik çeşitlilik daha düşük kalır, sadece başka bir popülasyondan gen akışı meydana geldiğinde artar veya rastgele mutasyonlar meydana geldikçe zamanla çok yavaş artar.
- Mutasyonlar meydana geldikçe, popülasyonun sağlamlığında ve seçime uyum sağlama ve hayatta kalma yeteneğinde bir azalma ile sonuçlanır.
- İklim değişikliği veya mevcut kaynaklarda bir değişiklik gibi çevresel değişiklikler ( viremi, kronik vajinal akıntı, kronik PID, miyom, polip, kronik kansızlık, …) buna neden olabilir.
- Alternatif olarak, darboğazdan kurtulanlar en büyük genetik uygunluğa sahip bireylerse, gen havuzundaki uygun genlerin frekansı artarken havuzun kendisi azalır.
Popülasyon darboğazının neden olduğu genetik sürüklenme, alellerin orantılı rastgele dağılımını değiştirebilir ve hatta alel kaybına yol açabilir. Daha küçük popülasyon boyutu da zararlı mutasyonların birikmesine neden olabilir.


Mitokondriyal Hastalıklar, Mutasyonlar, Disfonksiyon; Kadın, Gebelik , Epigenetik , Donasyon
Mitokondriyal hastalıklar Doğuştan mı? Sonradan Mı Olur?
Mitokondriyal hastalıkların yaklaşık %15’i mitokondriyal DNA’nın kendisindeki bir kusurdan kaynaklanır. Bu kusur, zararlı radyasyona, toksinlere, enfeksiyon – enflamasyon hasarlarına vb. maruz kalma gibi herhangi bir sayıda dış faktör veya hücre tarafından iç karışım nedeniyle ortaya çıkabilir.
Mitokondriyal hastalıkların çoğu, mitokondriyal proteinlerin sentezini kontrol eden nükleer DNA’daki bir kusurdan kaynaklanır.
Mitokondriyal hastalıkların küçük ama önemli bir yüzdesi kalıtsal değildir ancak edinilir – sonradan kazanılır.
Mitokondri, kırmızı kan hücreleri hariç tüm hücre tiplerinde bulunduğundan,
mitokondriyal genin bir türündeki bir kusur beyinde bir anormalliğe neden olabilirken, başka bir bireyde böbreklerde bir hastalık üretebilir.
Hücrelerimiz İlk etapta stres altında nasıl davranırlar ?
- Mitokondriniz serbest radikal oluşturduğu gibi antioksidan İşinide yapmalıdır.
- Ama tam olarak bunu yapma yeteneğini engelleyen nedir? Bazılarını kontrol edebildiğimiz ve bazılarını kontrol edemediğimiz aşağıdaki faktörler, mitokondrilerimize savaş açan ana unsurlardır:
- Dehidrasyon
- Yeterli hareket / egzersiz yok
- Elektromanyetik etkiye maruz kalma
- Bazı ilaçlar mitokondriyal fonksiyonu engelleyebilir
- Yetersiz veya kalitesiz uyku
- Devam eden travma veya duygusal gerginlik
- Bütün bunlar vücudu strese sokar ve mitokondrinin enerji üretme kabiliyetini engeller ve bunun sonucunda yaygın kronik iltihaplanma meydana gelir.
- Bu süreç, yaşlanmanın ve tüm hastalıkların, özellikle Alzheimer, kanser, diyabet ve kalp hastalıklarının, jinekolojik – obstetrik hastalıkların merkezinde yer alır.
Toksisite
- Çevresel kimyasallar,
- Ağır metaller,
- Küf,
- Parazitler
- Sigara, Alkol,..
Diyet:
- işlenmiş gıdalar,
- Şeker,
- Bitkisel yağlar ve
- Yapay tatlandırıcıları tüketnek
Mitokondriyal disfonksiyonun yaygın semptomları ve belirtileri :
- Düşük enerji ve yorgunluk,
- Baş dönmesi, beyin sisi, migren
- Zayıf konsantrasyon ve biliş,
- Zayıf egzersiz toleransı, kas zayıflığı,
- Düşük vücut ısısı,
- Uyku sorunu,
- Tiroid sorunları,
- Kronik inflamasyon,
- Baskılanmış bağışıklık sistemi,
- Libido kaybı,
- Kilo alımı,
- Jinekolojik – obstetrik problemler
- Anksiyete ve görme ve işitme sorunları olabilmektedir.
Mitokondri, oksidatif fosforilasyon işlemi ile beyin hücreleri için enerjinin çoğunu(38 ATP) sağlar.
Transkriptomik, proteomik ve metabolomik çalışmalarda, şizofreni, bipolar bozukluk ve majör depresif bozukluk olan bireylerde, oksidatif fosforilasyondaki mitokondriyal anormallikler ve eksiklikler bildirilmiştir.
fetal Mitokondriler hassas Mı?
Fetal ve/veya neonatal dönemi etkileyen enfeksiyon veya çevresel değişikliklerden kaynaklanan zararlı etkenler de hem nükleer DNA’da hem de mtDNA’da çeşitli sorunların (mutasyonlar, disfonksiyonlar) ortaya çıkmasına neden olabilir.
Mitokondriyal hastalıkların çoğu çoklu organ tutulumuna neden olurken, özellikle sinir ve kas gibi yüksek enerjiye İhtiyaç duyan dokularda ortaya çıkar
Nükleer DNA ile karşılaştırıldığında mtDNA oksidatif strese karşı özellikle hassastır , örneğin beyin gibi yüksek enerji gerektiren bölgelerde yaşla birlikte mtDNA mutasyonları birikme eğilimindedir, onarım mekanizması olmasına rağmen, onarım kapasitesi nükleer DNA’ya göre daha düşüktür. Bundan dolayı, tek kopya halindeki nükleer DNA ile karşılaştırıldığında mtDNA’daki mutasyon sayısının 10-17 kat daha fazla olduğu gösterilmiştir
Mitokondriyal Disfonksiyonun Neden Olduğu veya Ağırlaştırdığı Hastalıkların Kısmi Listesi
- Jinekolojik – Obstetrik Hastalıklar
- Erken yaşlanma
- Amyotrofik Lateral skleroz
- Alzheimer hastalığı
- Otizm
- Kalp-damar hastalığı
- Kronik yorgunluk sendromu
- Bunama
- Diyabet
- Huntington hastalığı
- Migren baş ağrısı
- Parkinson hastalığı
- Alzheimer hastalığı
- Endometriozis
- Gebelik komplikasyonları
- Kardiyomyopati
- Ansefalomyopati
- Yenidoğan ölümü
- Multisistem Hastalığı
- Myodisplastik Sendrom
- Myopati
- Ataksi
- Distoni
- Sağırlık
- Kronik Enfeksiyonlar
- Otoimmün hastalıklar (Multipl skleroz, sistemik lupus, tip 1 diabetes mellitus)
- Mide-bağırsak hastalıkları, Kabızlık, Bulantı,
- Genetik non-disjunction şeklinde bozukluklar
Artan Mitokondriyal Hasarla İlişkili Faktörler
- ATP üretilirken Mitochondria kristalarından sızan oksidanlar
- Yaşlanma (mtDNA’da birikmiş oksidatif hasar)
- Genomik duyarlılık (özellikle ApoE4 = Apolipoprotein E )
- Toksik metaller
- Kalıcı organik kirleticiler
- Birçok reçeteli ilaç ( parasetamol, ampisilin, tetrasiklinler , NSAİD kinolonlar ,… )
- Alkol


Mitokondriyal sayıların, İşlevlerin ve biyoenerjetik kapasitenin yaşla birlikte giderek azaldığı iyi bilinen bir gerçektir.
Harman, 1972’de “Mitokondriyal Saat” terimini icat ettiğinde bunu özetledi, köklerini 1956’dan kalma serbest radikal yaşlanma teorisi üzerine olan ufuk açıcı tezine dayandırdı .
Bu teori, Harman’ın yaşlanma ile gözlemlenen artan serbest radikal oluşumuna atfettiği, yaşlı dokularda lipid, protein ve nükleik asitlere gösterilen oksidatif hasarın birikimine dayanmaktadır. Düşünce şu ki, biyokimyasal etkinlik ve fizyolojik işlev yaşla birlikte azaldıkça, serbest radikal oluşum hızı artar, bu da artan oksidatif hasar seviyelerine yol açar.
Bu düşünce , mitokondriyal bölme içindeki ETC (Mitokondriyal Elektron Nakil Zincir) ‘e artan oksidatif hasarın, artan bir eşleşme verimliliği kaybına ve elektron taşıma zincirinden artan serbest radikal serbest bırakma oranlarına yol açtığını araştırarak devam eder.
“Mitokondriyal Yaşlanma Teorisi” ve “Yaşlanmanın Serbest Radikal Teorisi”nin iç içe olması; yaşlanmanın hangisinin nedeni ↔ hangisinin sonucu olduğu tartışmaya açıktır.
İlaca bağlı mitokondriyal toksisite
İlaca bağlı mitokondriyal toksisitenin karaciğer, iskelet kası, böbrek, kalp ve merkezi sinir sisteminde organ toksisitesine neden olduğu kabul edilmiştir. Mitokondriyal toksisiteye neden olduğu belirlenen ilaç sınıfları,
- Anti-diyabetik ilaçlar (tiazolidindionlar, fibratlar, biguanidler),
- Kolesterol düşürücü ilaçlar (statinler),
- Anti-depresanlar (SSRI’lar),
Ağrı kesici ilaçlar (NSAID’ler), - Bazı antibiyotikler (florokinolonlar, makrolid) ve
- Kanser önleyici ilaçlar (kinaz inhibitörleri ve antrasiklinler).
Bu gözlemlerin çoğu, izole edilmiş mitokondri ve hücre dizilerindeki çalışmalar yoluyla yapılmıştır .


Malesef insanımızın neredeyse tamamına yakını gebe kalınca ilk defa doktora geldiğinden veya gebelikte kötü – fena – bitik durum olunca doktora geldiğinden; bu mitokondriye toksik ilaçları kullanmak zorunda kalıyoruz. Kullanmazsak; anne ve bebek için durum daha kötü olacak.
İnsanımız gebelik öncesinden başlayarak gebelik bakımı almasını şuan çok zor öğrenecek gibi durmaktadır. Lütfen bir gebelik bütçesi hazırlayın ve gebelik öncesinde tecrübeli bir jinekolog ile iletişim kurunuz. Gebelik düşündüğünüz an , eski hayatınıza aynen devam etmemelisiniz.
Gebelikte başarı elde etmek;
- Sağlıklı gebeliği idame ettirmek
- Sağlıklı doğum yapabilmek
- Sağlıklı bebek doğurmak
- Zeki bebek doğurmak için 10/5/2 kuralına uymanız gerekmektedir.
Hastalıklarda Mitokondriyal Disfonksiyon Olasılığı
Dikkat edilirse Mitochondria bozulduğunda hiç jinekolojik hastalık(kadın hastalığı) yapmamaktadır, gelişmemektedir. Sizce bunun hiç doğruluk olasılığı olabilir mi ?

Kadın bedeninde
kronik enflamasyonun
en büyük kaynağı
vajinal akıntıdır.
Tetkikler
hekimin kanaatinden
üstün değildir.
Mitokondri Ve Gebelik
Mitokondri, hamilelik sırasında yaşanan fizyolojik adaptasyonlarda kritik bir rol oynuyor gibi görünmektedir. Folikülogenez, oosit olgunlaşması, korpus luteum ve uterus fonksiyonu, embriyogenez, embriyonik implantasyon ve fetoplasental gelişim gibi süreçleri fizyolojik seviyelerde ROS(reactive oxygen species) sinyali yoluyla düzenlerler .
Plasenta, aktif hücre nakli için, esas olarak aerobik hücresel solunumdan ATP gerektirir. Yine de, Glikoz kolaylaştırılmış difüzyonla plasenta boyunca taşınır. Bu, azalmış fetal büyümenin, yetersiz plasental ATP üretimine yol açan bozulmuş mitokondriyal fonksiyonun bir sonucu olabileceği anlamına gelebilir.
Normal ve mutant DNA’nın bir arada bulunması ‘Heteroplazmi‘ olarak isimlendirilir.
Oosit en büyük insan hücresidir (diğer somatik hücrelerden ortalama 300 kat daha büyüktür) ve ooplazmanın en az %23’ünü temsil eden büyük miktarda Mitochondria içerir . Germinal hücrelerin gelişim aşamasına bağlı olarak, mevcut mitokondri sayısı;
- Gastrulasyondan sonra embriyolarda farklılaşan insan primordial germ hücresindeki kısıtlama olayında (veya ‘darboğazda‘), PGC de hücre başına <10 Mitochondria olduğu görülmektedir.
- Blastositlerde 1000 civarında
- Her primer oosit hücre başına yaklaşık 10000 mitokondriye sahiptir.
- Matür metafaz 2 esnasında bekleyen oositlerde 100000 civarında
- Matür oositlerde 100000 – 1000000 e kadar ( neredeyse 1 aksonlu nöron kadar ) geniş bir aralıkta bulunan Mitochondria sayısı vardır.
Mi̇tokondri̇al Enflasyon
Fetal gelişimin maksimum üreme hücresine ulaştığı evrede , bu hücrelerdeki maksimum total mitokondri sayısı yaklaşık 35 milyar civarındadır.
Görüldüğü üzere hücre bölünmesinden çok daha fazla bir mitokondri çoğalması ( MİTOKONDRİAL ENFLASYON, Literatürde böyle bir kavram henüz yoktur ) vardır.
Primordiyal germ hücresi halen 1 iken; içerisindeki mitokondri 10 dan → 1 milyona çıkabilmektedir
Oositler, her biri kendi genomuna sahip mitokondrilerle doludur.
- Oogenez boyunca, mitokondriyal darboğaz (bottleneck effect) olarak bilinen bir süreçte organel başına mtDNA kopya sayısının azaldığı düşünülmektedir.
- Mitokondriyal darboğaz (bottleneck effect) bu, oosit mitokondrisini özellikle mtDNA tükenmesine karşı savunmasız hale getirir ama sağlıklı mtDNA’ların yaşama imkanını artırmaktadır; ayrıca bu genetik darboğaz olayı ayrıca oositleri enfeksiyonlar, ilaçlar ve toksik maddeler gibi mtDNA tükenmesine veya mutageneze neden olan faktörlere karşı özellikle hassas hale getirir.
- Bu evrimsel stratejinin amacı, anne soyundan heteroplazmik çoğalmayı – baskınlığı (mutant ve normalin aynı anda fazlaca bulunmasını) önlemek için Mitochondria başına nihayet bir daha uyumlu ve normal mtDNA molekülü içermek, böylece aynı varlık (mitokondri, oosit ve gelecekteki embriyo) içinde vahşi tip ve mutasyona uğramış mtDNA moleküllerinin bir arada bulunmasını azaltmak amacıyladır.

Döllenme ve İmplantasyon sağlandıktan sonra, embriyonun gelişimi, enerji ve metabolitler sağlamak İçin hamilelik boyunca mitokondriyal aktivite esastır.
Mitokondrinin doğurganlık sonucunda kalıtımı mitokondriyal fonksiyon ve ROS üretimi ile doğrudan veya dolaylı olarak ilişkilidir. İn vitro çalışmalar, oositteki mitokondrinin başarılı döllenme ve embriyonik gelişime katkıda bulunduğunu ileri sürmüştür.
Blastositler ve gelecekteki embriyo hücreleri, sürekli hücre bölünmesini, göçünü ve farklılaşmasını beslemek için muazzam bir enerji kaynağına ihtiyaç duyar. Bunlara ek olarak, mitokondri, daha fazla embriyo gelişimi için hangi hücrelerin veya dokuların elimine edilmesi gerektiğine karar vermek için yaşamın bu önemli aşamasında apoptoz gelişimini düzenler.
Sonuç olarak, Hamilelik sırasında mitokondrinin toksik ajanlara , uygunsuz çevresel faktörlere maruz kalması embriyonun gelişimini değiştirebilir ve yenidoğanın perinatal sonuçları ve sağlığı üzerinde önemli sonuçlar doğurabilir.
Gebelikte mitokondriyal disfonksiyon, hiperplazi;
- Plasental yetmezliğe (plasentanın fetüsün ihtiyaç duyduğu besinleri ve oksijeni sağlayamaması) ve
- Hipoksiye (gecikmiş anne kan akışının düşük oksijene yol açması nedeniyle) yol açar.
- Plasental ATP üretimi kısıtlanırsa, fetal büyüme etkilenebilir, çünkü besin ve oksijen taşınması için enerji sınırlı olacaktır .
Mitokondriyal dinamiklerin yeterli kontrolü, embriyonik gelişim ve implantasyon potansiyelinin yanı sıra fetal ve plasental büyümeyi düzenlemek için gerekli olan uygun bir mtDNA sayımına yol açarak kromozom ayrımının optimal regülasyonunu sağlar .
mitokondriyal trafik
Mitokondriyal yerleşim de erken embriyonun gelişimi boyunca önemli ölçüde değişir . Bu mitokondriyal trafik , mitokondriyi yüksek enerji talep bölgelerine taşır (örneğin, pronükleer oositlerde ve erken bölünme evresindeki embriyolarda, blastokist evresinde, embriyo yüksek düzeyde glikoliz ve oksijen (O2) tüketimi sergiler , embriyonik gelişimi desteklemek için diğer organellerle iletişimi ve etkileşimi kolaylaştırır ve çekirdekle metabolitleri ve sinyal gradyanlarını korur.
Mitokondri ve çekirdek arasında yeterli iletişim, ve diğer organeller gelişmekte olan embriyoda hücresel homeostazı destekler. Bu etkileşimlerin başarısızlığı veya yanlış düzenlenmesi, embriyonun strese tepki verme ve mitokondriyal işlevi düzenleme yeteneğini olumsuz etkileyebilir veya besin mevcudiyetindeki değişikliklere yanıt olarak epigenetik sahnede bir değişikliğe yol açabilir, canlılığı ve uzun vadeli sağlığı etkiler. Besin mevcudiyeti bu dengeyi bozabilir .
Bazı çalışmalar sağlıklı gebeliklerde oksidatif stresin gebelik yaşı ile arttığı belgelemiştir. Hamileliğin başlangıcında, normal hücre proliferasyonu ve plasental anjiyogenez için gerekli olan plasental O2 nispeten düşüktür; bu kadar düşük O2, embriyoyu o sırada ROS’tan koruyabilir. İlk trimesterin sonunda, maternal intraplasental dolaşım tam olarak kurulduğunda, O2 gerilimi ROS seviyeleri ile birlikte üç katına çıkar. Plasenta bunu kendine modüle ederek ve hücresel antioksidan seviyelerini artırarak bu artışa uyum sağlar ; plasenta, kendini herhangi bir gereksiz zarardan koruyan antioksidan savunmalarla donanmıştır . Normal koşullar altında, bu adaptasyonlar fetal gelişim için uygundur .
Tetkikler
hekimin kanaatinden
üstün değildir.
Plasental mitokondriyal fonksiyondaki adaptasyonla
Plasental mitokondriyal fonksiyondaki adaptasyonlar, yüksek oksidatif stresi olan hamile kadınlarda belgelenmiştir . Oksidatif stres, düşükler, embriyopatiler, erken doğum ve preeklampsi (PE) ile ilişkili intrauterin büyüme kısıtlaması (IUGR), kronik enfeksiyonlar dahil olmak üzere çeşitli gebelik komplikasyonlarıyla ilişkilendirilmiştir.
mtDNA’nın zayıf yönleri
- mtDNA yı hasardan koruyan histon proteinlerinin olmaması (bunun yerine, mtDNA, kendi kendine yeterli olan bir dairesel molekül olarak bulunur.),
- mtDNA’nın ROS üretimine çok fazla yakınlığı,
- Sınırlı DNA onarım sistemleri,
- Replikasyon sırasında sınırlı düzeltme okuma kapasitesi nedeniyle nükleer DNA’ya göre hasara (mutasyonlar dahil) daha duyarlıdır.
Kadın bedeninde
kronik enflamasyonun
en büyük kaynağı
vajinal akıntıdır.
Birkaç spesifik mikro besin, enerji metabolizmasında ve ATP üretiminde çok önemli roller oynadığından, mitokondriyal fonksiyon İçin yeterli besin seviyeleri gereklidir.
- B vitaminleri,
- Askorbik asit,
- α-tokoferol,
- Selenyum,
- Çinko,
- Koenzim Q10,
- Kafein,
- Melatonin,
- karnitin, nitratın mitokondriyal fonksiyonda önemleri vardır.
Mitokondriyal fonksiyonda lipoik asit (ALA) ve taurin, B vitaminleri trikarboksilik asit döngüsünde gereklidir.
- Selenyum, a-tokoferol, Koenzim Q10, kafein ve melatonin elektron transfer sistemi fonksiyonunu artırmak için önerilmektedir.
- Karnitin, yağ asidi beta oksidasyonu için gereklidir.
Selenyum mitokondriyal biyogenezde yer alır. Optimal mitokondriyal fonksiyon için çeşitli beslenme bileşenlerinin belgelenmiş önemine rağmen, şu anda, Mitokondriyal metabolizmada yer alan bu spesifik mikrobesinlerin eksiklikleri yaygın olmasına rağmen, kritik hastalık sırasında veya sonrasında optimal gereksinimler için yönergeler sağlayan hiçbir çalışma yoktur.

Mitokondriyal hastalıklar nasıl tedavi edilir?
Mitokondriyal hastalıkların tedavisi yoktur, ancak tedavi semptomları azaltmaya veya sağlıktaki düşüşü yavaşlatmaya yardımcı olmaya yöneliktir.
Tedavi hastadan hastaya değişir ve teşhis edilen spesifik mitokondriyal hastalığa ve ciddiyetine bağlıdır. Yine de, bir hastanın tedaviye yanıtını veya hastalığın uzun vadede o kişiyi nasıl etkileyeceğini tahmin etmenin hiçbir yolu yoktur. Aynı hastalığa sahip olsalar bile iki kişi aynı tedaviye aynı şekilde yanıt vermez.
Tetkikler
hekimin kanaatinden
üstün değildir.
mitokondriyal Fonksiyonu Geliştirme Stratejileri
Doğru anneyi seçmek.
- Yaşlı bir anne yerine , genç bir anne adayını tercih etmek yani genç vede homoplazmik bir mtDNA ile gebeliğe başlamak yardımcı olur. Gebeliği ileri yaşlara ertelememek lazım !
- İltihaplı – enfeksiyonlu (vajinal akıntılı !), dişlerinde çürükle yaşamayı sorun olarak görmeyen bir bayanın özellikle ovarian ve rahim mitokondrileri kronik enflamasyon nedeniyle yıpranmış, mitokondriyal disfonksiyon – mitokondriyal heteroplazmi geliştirmiş olabileceğinden gebelik komplikasyonları ve potansiyelinden uzaklaşmış bir bebek sürpriz olmamalıdır.
- Küçümseyici ve yoğun şekilde eleştirici içeren, kırıcı bir madde olmasına rağmen; gerçek ve en etkili olan budur.
Kaliteli ve doğal besinler
- Gıda kalitesi. Daha az sıklıkta yemek yerken, vücudunuzu beslemek için seçtiğiniz gıdanın kalitesi, mitokondrinize verimli çalışması için gereken besinleri sağladığınızdan emin olmak için çok önemlidir. Gazlı şekerli içecek, beyaz ekmek ve hamur işleri gibi rafine karbonhidratları azaltın.
- Aşırı karbonhidrattan kaynaklanan yaygın iltihaplanma – enflamasyon, mitokondriyal işlevinizi optimize etmek için hayati önem taşıyan hormon üretiminizi ve düzenlemenizi değiştirir.
- Dolaplarınızdaki ve buzdolabınızdaki tüm işlenmiş karbonhidratları atarak, bu iltihabı azaltabilir, hormon düzenlemenizi iyileştirebilir ve mitokondriyal işlevi artırabilirsiniz.
- Tip 2 DM bir mitokondriyal disfonksiyon olduğu hatta alzheimer hastalığının diyabetin bir türü ( Tip3 DM ) olduğu ve mitokondriyal disfonksiyonla ilişkisi tartışılmaktadır.
- Merada otla beslenmiş sığır eti ve merada yetiştirilen yumurta gibi kaliteli protein tüketin. Bu temel besinlerden her ikisi de mitokondriye enerji sağlamak için hayati önem taşıyan L-karnitin ve kreatin içerir.
- Omega-3 ve alfa-lipoik asit kaynaklarını tüketin.Benzer şekilde, omega-3’ler ve alfa-lipoik asit, solunum enzimlerini artırarak mitokondriyal işlevi iyileştirir.
- Vahşi yakalanmış somon, deniz balığı, sardalye ve hamsi ile diyetinize daha fazla omega-3 asit ekleyin.
- Alfa-lipoik asit kaynakları olarak ıspanak, brokoli, patates, brüksel lahanası, havuç veya pancar gibi sebzelerle birleştirin.
Daha az kalori tüketmek.
- Kalori azaltma, serbest radikallerin üretimini azaltıp, mitokondriyal fonksiyonu iyileştirmek için iyi bilinen bir yöntemdir. Mitokondri, enerji üretmek için oksijeni kullandığında, hücresel yapılara zarar verebilecek bir dizi reaktif oksijen türü (ROS) salgılar. Fazla kalori, mitokondrinin Krebs döngüsü sırasında ROS üretimini artıran, Mitochondria iç membranındaki ROS üretimine bağlı oksidan sızıntıları başta obeziteye ve yüksek inflamatuar süreçleri içeren hastalıklara yol açar. Bu yüksek ROS seviyeleri, oksidatif stres olarak bilinen hücresel hasara yol açar.
- Başlayan bu kısır döngü ( kalori – ros, ros – disfonksiyon), vücudunuzdaki her hücrede enerji üretimini sürekli olarak engelleyebilir.
- Kalori aralığı. Bununla birlikte, her gün yediğiniz kalorileri azaltarak ve iltihap – enflamasyon kaynaklarını ortadan kaldırarak buna ara verebilirsiniz. Aşırı yemeyi önlemek için sağlıklı bir kalori aralığı oluşturmayı hedefleyin.
- 8-10 saat arayla 2-3 öğün yemek yiyin. Aralıklı oruç, hasarlı mitokondrileri ortadan kaldırarak ve yeni mitokondrilerin biyogenezini tetikleyerek mitokondriyal ağı destekler.
- Başlayan bu kısır döngü ( kalori – ROS, ROS – disfonksiyon), vücudunuzdaki her hücrede enerji üretimini sürekli olarak engelleyebilir.
- Düşük karbonhidratlı ketojenik diyet; hasarlı, mutasyonlu mitokondrilerin ortadan kaldırılmasını ve yenilerinin üretilmesini sağlayacaktır.
Elektron transport zincirinde oksijen ve yüksek enerjili elektron sızıntısını (membran hasarını) sınırlamak için gerekli besinleri optimize etmek. Oksidatif stresin ve mtDNA’ya verilen hasarın en büyük kaynağı olarak, bu belki de hastalara sunabileceğimiz en güçlü yaşlanma karşıtı stratejisidir.
Mitokondriyal ATP üretimini kolaylaştıran besinlerden yararlanın.
Bitter çikolata, kırmızı şarap (dozunda!) gibi resveratrol (ATP kullanımını kolaylaştıran molekül) içeren antioksidan bakımından zengin yiyecekler yiyin.
- Antioksidan molekül olan resveratrolün, mitokondriyal işlevi iyileştirdiği, üzüm, kırmızı şarap, bitter çikolata ve antep fıstığını ölçülü olarak tükettiğinizde faydalı hale getirdiği de bilinmektedir.
- Taurin ve sisteinden zengin gıdalar
Toksin maruziyetinizi azaltın.
- Bu, hemen hemen her hastalık için açıkça doğrudur, ancak mitokondrilerin muazzam metabolik aktivitesi nedeniyle, özellikle hassastırlar.
- Enflamasyon kontrolden çıktığında mitokondriyi etkileyebilir – buna mitokondriyal disfonksiyon denir.
- Fruktoz (meyve şekeri) hücresel enerji üretimini teşvik etmekten çok bozar.
- Meyve yemeyi bırakın demiyoruz, ancak günde iki porsiyon meyve yemeye dikkat edin, meyve suları yerine ‘bütün’ meyveleri seçin ve fruktoz şurubu eklenmiş ürünlerden kaçının.
- Mitokondriyi oksidatif stresten koruyan besinler sağlayın.
Kas kütlesi oluşturun.
Parkinson hastalığı bulunanlar gibi mitokondriyal hasarı olanlar bile, kuvvet antrenmanı yoluyla ATP üretimini artırabilir. Günlük en az 30 dakika aktivite yapın.
Fiziksel egzersiz
Mitokondrinin Krebs döngüsü için kritik olan oksijen alımınızı artırmanın en iyi yoludur.
- Vücudunuz daha fazla enerji kullandıkça, talebi karşılamak için kendini daha fazla Mitochondria üretmeye zorlayacaktır.
- Enerji harcamazsanız veya oksijeninizi tüketmiyorsanız, vücudunuz ve mitokondrileriniz kayıtsız – lakayık hale gelecektir.
- Haftanız boyunca aerobik egzersizi, kuvvet antrenmanını, germe ve dengeyi dahil edin. Fitness seviyeniz ne olursa olsun, çeşitlilikten her zaman fayda elde edersiniz.
Isı – Sauna deneyin.
- Sauna kullanımı gibi ısı tedavisinin mitokondrinin etkinliğini arttırdığı gösterilmiştir.
- Mitokondrinin enerji ihtiyacı artar ve oksidatif fosforilasyon adı verilen bir süreçle kandaki oksijenin daha iyi kullanılmasıyla sonuçlanır.
- En az 10-15 dakika boyunca haftada 2-3 sauna seansı hedefleyin.
Her gece 8 saat uyumaya öncelik verin.
- İyi bir gece uykusu, gün boyunca biriken düşüncenin yan ürünlerini (nötr atık olarak bilinir) temizlemesine izin vererek beyni korur. Nötr atık birikmesi nöronlardaki mitokondriye zararlıdır.
- Araştırmalar ayrıca sirkadiyen ritminiz ile mitokondrinin işlevi arasında bir ilişki olduğunu öne sürüyor.
- Sirkadiyen ritminiz bozulursa, bu hücresel enerji üretiminde bir düşüşe yol açabilir.
- Kesin, standart bir uyku-uyanıklık döngüsü oluşturun, her gün ve gece buna bağlı kalın, ve uyku saatinden en az bir saat önce elektronik ekranları kaldırın.
Günlük meditasyon veya masaj gibi rahatlama teknikleriyle stresi azaltın.
Meditasyon ve masaj gibi rahatlama teknikleri psikolojik stresin etkilerini azaltabilir. Stres hormonları, vücuttaki çeşitli biyolojik süreçleri, özellikle bağışıklık, sinir ve endokrin sistemlerini olumsuz yönde etkileyen mitokondriyal fonksiyonu değiştirebilir.
Gününüze sadece birkaç dakikalık meditasyon ekleyerek kişisel stres azaltma rutininizi geliştirmeye başlayın.
ATP Üretimi için Temel Besinler
ATP kullanımının kolaylaşması
- Resveratrol
- Bitter çikolata ve kırmızı şarapta mevcut
L-karnitin
Yağ asitlerinin stoplazmadan mitokondriye girmesinde karnitine ihtiyaç duyulur
Kırmızı ette bolca vardır.
- Yağ asitlerini taşımak için
- L-karnitin
Yağların oksidasyonu
- FAD (riboflavin=B2 Vitamini , kompleks II)
- Redoks reaksiyonları, elektron transferini içeren süreçlerde kullanılır.
- Endojen antioksidan olan glutatyonun oluşumunda temel bir enzim olan glutatyon redüktazın aktivitesi için de gereklidir.
- Ciğerde bolca vardır.
- NADH (niasin =B3 Vitamini )
- Besin Mayası (Nutritional Yeast) de bolça bulunur
Elektron Transpor Zinciri
- Sitrik asit döngüsü
- Demir, magnezyum, manganez
- B1 – Tiamin
- İşlenmemeiş tam tahıllarda bolca vardır.
- Sistein (glutatyon), lipoate=Alfa Lipoik Asit
- N-Acetyl Cysteine , glutatyon düzeylerinin yenilenmesine faydalıdır.
- Magnezyum ( ATP üretimi)
- Vitamin C, E ,Selenyum desteği almak
- N-Acetyl Cysteine desteği almak
- N-asetil-sistein, glutatyonun bir yan ürünüdür. sistein ve glutatyon kalıntıları içermesi bakımından ve metabolizma üzerindeki rolü nedeniyle popülerdir.
- Glutatyonun yenilenmesini hızlandırır.
- Riboz Tüketimi,
- Ginkgo Biloba
- CoQ10
- Koenzim Q molekülleri, doğal olarak oluşan lipitte çözünür redoks molekülleridir. İnsanlarda Koenzim Q10 formunda bulunurlar.
- Ubiquinone olarak da adlandırılır ve hücreler arası elektron taşıma zincirinde yardımcı bir faktördür, yüksek enerjili elektronları taşır.
- Koenzim Q10 ayrıca E vitamininin aktif formu olan alfa-tokoferolü de yeniden üretir. E vitamini ile birlikte Koenzim Q10, lipoproteinleri oksidatif hasardan korur.
- Yürek yemekle bol miktarda mitokondri ve onun bu bileşenlerini alabilirsiniz.
- Besinleri kızartarak pişirmek CoQ10 içeriğini %14–32 oranında azaltır.
- Taurin
Kadın bedeninde
kronik enflamasyonun
en büyük kaynağı
vajinal akıntıdır.



Mitokondriyal hastalığın – disfonksiyonu için tedaviler geliştirilmesi birçok kronik hastalığı tedavi etme potansiyeline sahiptir. Sitozolik mtDNA salınımının engellenmesi , hasar birikmesinin önlenmesi, inflamatuar yolağın aktivasyonunun engellenmesi gibi stratejiler büyük önem taşımaktadır. Birçok hastalığın patogenezinde mitokondriyal disfonksiyonun rol oynadığı bilinmektedir. Bu nedenle efektif tedavi stratejileri geliştirebilmek için hücresel mekanizmaları ve özellikle de mitokondriyal fonksiyonu anlayabilmek önemlidir.
Piyasada bu ürünleri; ayrı ayrı veya bir arada gıda takviyesi, gıda desteği adı altında çok sayıda firma satmaktadır. Fakat bu ürünlerin NEREDEYSE TAMAMI sahte veya etkisizdir. Güncel FDA onayı – sertifikası olmayan hiç bir üretici ve satıcıdan alınmamalıdır. FDA sertifikası geçmiş, bitmiş firmalardan da uzak durulmalıdır. Firmanın – ürünün GÜNCEL – AKTİF – GEÇERLİ FDA serfikasını sorgulamadan satın alma yapmayınız.
Mitokondri Donasyonu – Mitokondriyal bağış
Mitokondriyal bağış, IVF tabanlı bir yardımcı üreme teknolojisidir. Aksi takdirde hastalığı geçirebilecek annelerden doğan bebeklerde mitokondriyal hastalığı önleme potansiyeline sahiptir. Halen deneysel bir tedavidir. Bu işlemin başarılı olabilmesi için primordiyal germ hücre aşamasındaki oosite donasyonun daha faydalı olacağını düşünüyorum, çünkü bu hücre grubunda toplam mitokondri sayısı 10 un altında olduğundan; full olarak mitokondrilerin değişimi yapılabilir; işlem heteroplazmik donasyona dönüşmemiş olur.
Mitokondriyal bağış hakkında
Mitokondriyal bağış, bazı kadınların mitokondriyal hastalığı biyolojik çocuklarına bulaştırmasını önlemeye yardımcı olabilecek bir yardımcı üreme teknolojisidir.
Terim, yalnızca sağlıklı mitokondrinin bir embriyoya aktarılmasını sağlamayı amaçlayan birkaç özel tekniği ifade eder.
Tüp bebek (IVF) ile kullanılır, mitokondriyal bağış teknikleri, bir üreme kliniğinin aşağıdakileri içeren bir embriyo oluşturmasını sağlar:
- Bir erkek ve bir kadından alınan nükleer DNA (müstakbel anne)
- Başka bir kadın tarafından bağışlanan bir yumurtada mitokondri (mitokondriyal donör).
- Sadece yumurta hücreleri bir sonraki nesle mitokondriye katkıda bulunduğundan, bu yaklaşım, anne adayının çocuğuna mitokondriyal hastalık bulaştırma riskini en aza indirir.
Bununla birlikte, mevcut mitokondriyal hastalığı olan insanları iyileştiremez veya nükleer DNA’daki bir mutasyonun neden olduğu mitokondriyal hastalığı önleyemez.
Neden önemli
Şiddetli mitokondriyal hastalık, aileler üzerinde aşağıdakiler de dahil olmak üzere yıkıcı bir etkiye sahip olabilir:
- Çocukların erken ölümü
- Acı verici zayıflatıcı ve engelleyici ıstırap
- Uzun süreli hastalık
- Kötü yaşam kalitesi.
Mitokondriyal bağışın tanıtılması, bazı çocukların yaşamı tehdit eden bu hastalıktan muzdarip olmasını önleyebilir ve mitokondriyal hastalığın geleceğe yönelik yükünü azaltabilir.
Mesut Bayraktar
https://wa.me/905467740159
Basitçe anlatmak gerekir ise;
İnsanlar
** 1 kromozom paketi ve
** ~ 10 adet mitokondriden
oluşur.
Bu 10 mitokondride sadece 1 tanesi heteroplazmik mtDNA ise büyük şanssızlık !
Kadın bedeninde
kronik enflamasyonun
en büyük kaynağı
vajinal akıntıdır.
Kadın bedeninde
kronik enflamasyonun
en büyük kaynağı
vajinal akıntıdır.
Tetkikler
hekimin kanaatinden
üstün değildir.
Endometriozis Tedavisi - Çikolata Kisti - 2026
02.01.2026[…] Mitokondri Neden Kadını Seçti?Başarana Odaklanma Hatası – Survivorship Bias […]
Vajinal Akıntı Mutasyon Yapar Mı? - Muğla Kadın Doğum - 2026
03.01.2026[…] RezerviMitokondri Neden Kadını Seçti?Sıfır vajinal akıntı sağlıktırAlbert DöderleinBu normal salgının tepkimesi her zaman mavi […]